CCOS眼底病丨以创新思维决胜视界巅峰,天津市眼科医院陈松教授谈复杂性黄斑病变手术的“新云图”

  • 2023-09-17 09:52:00
  • 1551 Views

编者按:黄斑是视觉最为敏锐的部位,在视觉功能中发挥重要作用,手术是治疗黄斑疾病的重要手段。相比糖尿病视网膜病变、视网膜脱离等手术而言,黄斑手术技术操作的复杂性相对较低,但是手术操作要求“精细”、 “准”、“稳”更甚。尤其对于复杂性黄斑病变手术,如何在不造成新的创伤的同时,尽可能恢复视功能,是眼底专科医师面临的艰巨挑战。天津市眼科医院陈松教授,在眼底手术领域造诣颇深,几十年的潜心研究,其总结出关于黄斑病变手术治疗的诸多宝贵经验和技巧,并应用创新思维提高了黄斑疾病的手术治疗效果,受到业内广泛赞誉。第二十七次全国眼科大会(CCOS2023)上,陈松教授就复杂性黄斑病变的手术技巧和创新思维发表了精彩的演讲,引起与会者拍手称赞。


现代黄斑病变手术已经进入微创时代,23G/25G/27G微创设备的发展,进一步提升了手术效率、提高了术后效果。陈松教授介绍,医疗技术的进展,使得黄斑病变手术的每一基本步骤——如无痛麻醉、广角镜应用、角膜镜、剥膜、TA使用、内界膜剥除、电凝、气液交换、眼内激光、硅油或气体填充、抗VEGF /糖皮质激素使用(术前、术中、术后均可使用),均潜藏创新的契机,有望为患者带来更佳的手术方案、更优的治疗效果,并在此列举一二。


一、PDR合并DME治疗

PDR合并DME目前有激光光凝、糖皮质激素、抗VEGF治疗、玻璃体手术 (PPV)等多种治疗手段可选,每种治疗手段都有其独特的适用范围。

1.激光光凝:PRP +黄斑格样光凝;微脉冲激光

2.糖皮质激素:如TA、地塞米松缓释剂治疗继发性炎症黄斑水肿

3.抗VEGF:如雷珠单抗、阿柏西普和康柏西普

4.玻璃体手术 (PPV): 方法包括单纯PPV及PPV+内界膜剥除术(LIMP)

抗VEGF与抗炎:可基于OCT分型或其他条件为DME选择合适的治疗方法

如海绵状视网膜水肿,可选择抗VEGF治疗;浆液性视网膜脱离可以选择抗VEGF治疗或抗炎治疗;混合型DME可以选择抗VEGF加抗炎治疗,双管齐下;黄斑囊样水肿可以选择抗VEGF治疗或者抗炎治疗。

图片

PPV 手术:PPV+ILM

PPV联合ILM剥除,意在如下几个目的:解除玻璃体后皮质对黄斑区机械牵拉,恢复黄斑区正常解剖结构;改善黄斑区视网膜血液循环及缺氧状态;去除严重PDR玻璃体积血、视网膜前增殖膜,同时减少玻璃体腔中与DME有关VEGF及炎性因子,加快DME吸收;抑制术后黄斑前膜、DME复发;起到协同作用的效果。

在既往的临床实践中陈教授发现,对于黄斑中心凹视网膜厚度(CRT)较厚、病情较为严重的DME患者,PPV术中剥除内界膜后患者视力恢复较好,如果术中或术后再联合抗VEGF治疗或糖皮质激素治疗,则能达到更佳的效果,尤其对于弥漫性DME,此法疗效甚佳。随着术中OCT影像学技术的发展,可以在PPV术中直接观察到黄斑水肿的程度,对手术的掌握度更上一层,相应的处理策略也更为完善稳妥。陈教授对内界膜剥除进行了多项对比分析研究,发表了数篇SCI论文,研究均发现,剥离内界膜的DME患者较未剥内界膜的DME患者,视力提高和CRT减轻都有显著优势。

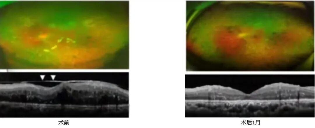
病例1:患者男,40岁,糖尿病7年,主诉左眼视物模糊1年余,术前左眼视力0.05。诊断为PDR V期OS,玻璃体积血OS。采用“MIV+ILMP”术式进行治疗,术后视力较术前明显提高,黄斑水肿明显减轻。

图片

难治性DME地塞米松缓释剂植入研究

该项研究中纳入难治性DME患者20例22眼,所有眼均为硅油填充眼,行硅油取出术+地塞米松缓释剂植入。术后患者视力显著提升。故PDR+DME术后或硅油取出术联合地塞米松缓释剂植入或联合使用抗VEGF治疗,可防止膜收缩,治疗难治性DME。

病例2:患者男,27岁,严重PDR,糖尿病多年。术前视力0.1,眼压16mmHg。

陈教授为患者施行PPV+硅油填充术3月后,行硅油取出+地塞米松缓释剂植入。术后1月,患者视力提升至0.7,眼压为17mmHg。

图片

病例3 :患者女性,45岁,糖尿病20年,严重PDR,术前视力0.3(BCVA)。陈教授为其行PPV+硅油填充术,3月后行硅油取出+地塞米松缓释剂植入。术后1月视力提升至0.8,术后3月视力维持0.8,术后6月视力进一步提升至1.0。


图片


二、黄斑裂孔手术

目前临床上,对于黄斑裂孔较大的患者常采用保留中心凹的内界膜剥除、内界膜翻瓣术等多种术式,各有其适用范围,均取得了不错的疗效。

1.保留中心凹的内界膜剥除:解除对于黄斑区的牵拉,但保留中心凹正常结构不受破坏。

2.内界膜翻瓣术:提高了大直径黄斑裂孔闭合率,对术者精细操作要求高,术中内界膜瓣需妥善处理。

3.巨大黄斑复发孔处理:除了内界膜翻瓣,还采用自血疗法,促进裂孔愈合。

4.超高度近视黄斑孔处理:后巩膜葡萄肿边缘激光治疗。

手术操作案例

临床研究分析

陈教授回顾性分析经手治疗的合并后巩膜葡萄肿高度近视MHRD患者49例49眼,眼轴均≥30mm。激光组:PPV+ILM剥除+后巩膜葡萄肿边缘光凝+硅油填充,25例25只眼;非激光组:PPV+ILM剥除+硅油填充 ,24例24只眼。激光组行黄斑白孔网脱后巩膜葡萄肿边缘激光光凝(超高度近视),气液交换后平复网膜,在后巩膜葡萄肿边缘行“C”型或“O”光凝2-3排。需注意激光能量I-II级,HMRD视网膜菲薄易出激光裂孔。手术后随访6~28个月,平均20.20士7.25月。研究发现,激光组首次手术视网膜复位率、黄斑裂孔闭合率均较常规手术组高,手术次数较常规手术组减少,视力提高也较好。

图片


三、PCV治疗

PCV的治疗有PCV玻璃体出血PPV治疗,还有PCV黄斑息肉手术治疗,抗VEGF药物出现后,后者的采用率逐渐降低。PCV合并玻璃体积血(VH)PPV术后随访发现(纳入PCV合并VH的患者19例20眼,单眼18例、双眼1例),VH清除后联合抗VEGF治疗,瘢痕愈合效果不错,但患者的视力仍不太理想。故陈教授指出,目前PCV的治疗主要以抗VEGF治疗为主,手术治疗主要针对PCV合并VH的患者,积血清除后联合抗VEGF治疗,可取得不错的效果。

病例4:男,54岁,PCV;PPV术后随访。

图片


病例5:女,40岁,PCV;PPV术后随访。

图片



总结

陈教授表示,黄斑手术的进步,离不开手术理念、手术设备及辅助药物的发展,更离不开手术医生创新素养的提高。在手术技术方面,术者要与时俱进,充分利用微创手术联合抗VEGF/糖皮质激素的应用,进一步提高术后疗效。更要内外兼修,眼底内外科熟练自如,综合诊治。黄斑手术虽属眼底疾病治疗,但治疗过程中要兼顾眼前节和眼表,防范青光眼和眼表病变的发生。基于此,术者强大自信的内心、精益求精的信念、团结协作的精神、勇于创新的魄力,将进一步助力黄斑手术的创新变革,为患者带来更优异的手术质量和视觉预后。


图片


陈松 教授

天津市眼科医院、天津医科大学眼科临床学院

南开大学眼科医院

首届天津名医中华眼科学会眼底病学组 委员中国微循环学会理事兼眼微循环专委会 常委中华医师协会眼科分会眼底病专委会 委员天津市眼科学会常务 委员海峡医学会黄斑学组 顾问海医会玻璃体视网膜专委会 委员海医会视网膜血管疾病学组 委员中国微循环学会一带一路眼科联盟 常委中国老年保健协会眼保健协会常务 委员福建省华侨医疗卫生保健 特聘专家《中华眼底病杂志》编委《国际眼科杂志》常务编委《眼科新进展》编委《临床眼科杂志》编委《中国实用眼科杂志》通讯编委《天津医药》编委国家自然科学基金评审眼科评委国家科学技术奖励评审专家教育部学位评审专家学历及经历:湖南医科大学眼科博士,北京同仁医院首位博士后,原天津市眼科医院副院长、党委委员及研究所副所长专业特长:眼底病,玻璃体视网膜疾病,眼科疑难眼病,黄斑疾病,糖尿病视网膜病变,老年眼病,高度近视工作任职:天津市眼科医院首席专家,教授,二级主任医师,博士生导师,国务院特殊津贴享受者(1998)科研方向:糖尿病视网膜病变、老年性黄斑变性、玻璃体视网膜疾病基础与临床研究。近年来主持省部级课题6项、市内课题2项。获省部级科研奖12项、发表第一作者/通讯作者文章120余篇。主编专著4本、副主编1本、参编4本。



声明:本文仅供医疗卫生专业人士了解最新医药资讯参考使用,不代表本平台观点。该等信息不能以任何方式取代专业的医疗指导,也不应被视为诊疗建议,如果该信息被用于资讯以外的目的,本站及作者不承担相关责任。


2 comments

发布留言

条评论

  • Linda Gareth
    2015年3月6日, 下午2:51

    Donec ipsum diam, pretium maecenas mollis dapibus risus. Nullam tindun pulvinar at interdum eget, suscipit eget felis. Pellentesque est faucibus tincidunt risus id interdum primis orci cubilla gravida.


相关阅读