眼睑美容高强度超声致眼前段损伤一例:爱美固然重要,安全应置首位!

  • 2023-08-11 18:22:00
  • 1021 Views

【编者按】随着经济的高速发展和人们生活水平的提高,消费者对医疗美容的需求日益高涨。然而,鉴于医疗手段本身的风险性和部分美容行业的不规范性,时常有各种求美并发症的发生。近期,来自巴西阿雷格里港临床医院的Samara Barbara Marafon教授在BMC Ophthalmology杂志分享了一例眼睑美容超声致眼前段损伤的病例,为人们带来警示。


美容手段HIFU的两刃性

在高强度下,超声可以通过空化作用和热机制产生显著的生物效应,在医学领域常用于疾病的诊断和治疗。高强度聚焦超声(high intensity focused ultrasound, HIFU),简称海扶刀,是一种相对较新的美容治疗方式,通过使用非侵入性超声技术诱导热胶原蛋白凝固效应,达到改善皮肤、恢复青春的作用,目前已在美容和皮肤外科手术中广泛应用。HIFU换能器产生频率4 - 7 MHz的超声能量,进而在表皮和真皮组织平面内产生间隔1.0至1.5 mm的独立的热凝固离散区。根据能量设置,HIFU可以将能量输送到3至4.5 mm深的组织。与传统的美容激光不同,HIFU的能量可以在皮肤的深层传递,对肌腱膜的皮肤深层组织造成热损伤,破坏胶原蛋白的分子间α交联并诱导胶原蛋白收缩。这使得临床可能低估其对眼周邻近组织和眼表造成的严重损伤风险。


病例详情

以往曾有HIFU治疗后不同患者发生浅层角膜混浊、晶状体混浊、眼压升高或眼部屈光改变的相关报道。本病例为上眼睑单次HIFU治疗后发生深层角膜混浊伴前部葡萄膜炎、虹膜萎缩、晶状体混浊。

患者女,47岁,无眼科病史,因“右眼疼痛、眼红、畏光”就诊于眼科急诊。以上症状是在右上眼睑周围行HIFU美容治疗过程中开始的。随着症状的出现,治疗被中断,左眼睑未接受治疗。该治疗过程由训练有素的皮肤科医生操作,没有任何护眼装置。有关探头和能量的更多详细信息尚不清楚。

右眼初始的未矫正视力为20/30。裂隙灯生物显微镜示眼睛轻度充血,角膜有3处点状上皮缺损、伴基质浸润和局部水肿,邻近角膜透明 (图1)。右眼眼压(IOP)为16 mmHg。前房示房水细胞4/4+,虹膜未见明显异常,晶状体透明,眼底检查未见异常。

图片

图1. 最初表现为3处角膜基质浸润和水肿

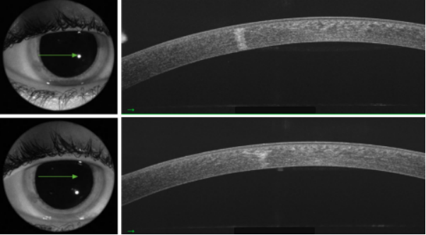
给予患者第一周使用10 mg/ml糖皮质激素滴眼液每天4次点眼,然后逐渐减量,共治疗30天。患者后被转诊至角膜专家,治疗5天后,症状顺利消退,IOP保持在16 mmHg。21天后,患者症状完全消退,右眼未矫正视力为20/20(1.0)。裂隙灯生物显微镜下眼睛无充血,前房无炎症。病变处角膜上皮愈合,但3处基质混浊依然存在,并进展至全基质厚度、无基质水肿。角膜光学相干断层扫描(OCT)上亦显示混浊发生进展(图2)。角膜地形图略不规则,但仍然对称,混浊区域未见变平或变陡。裂隙灯生物显微镜显示颞下象限虹膜萎缩(图3)和晶状体混浊,与初始和残留的角膜混浊区域一致。白内障为前皮质性,未累及视轴。到目前为止,其右眼视力保持在20/20 (1.0)。未受损伤的左眼一直保持在20/20。在6个月的随访复诊期间,患者都积极配合诊治。

图片

图2. 角膜光学相干断层扫描(OCT)显示,第21天混浊的角膜基质。角膜上皮已经愈合,角膜内皮未受影响。

图片

图3. 裂隙灯生物显微镜显示,在HIFU治疗6个月后仍残存角膜混浊和虹膜萎缩


讨论

该病例描述了一个在上眼睑单次应用HIFU后导致多个眼前段损伤的患者。虽然没有直接目睹整个治疗操作,但结果具有特征性,譬如规则、整齐的角膜混浊形态与HIFU探头的形态非常相似,说明在没有皮肤错位时有能量无意中直接传至上睑。

眼睑是人体最薄的皮肤,而HIFU的安全能量间隔和距眶缘距离的精确定位是复杂的,因此不建议将其直接应用于上眼睑的正常位置,而是需要将上睑皮肤向眶缘位置牵拉错位。用于提眉治疗时,应将HIFU装置应用于前额外侧,包括眉毛外侧三分之二上方的区域,能量设置深度为3mm。

角膜浸润可能是胶原蛋白直接凝固导致的收缩、炎症反应及成纤维细胞持续迁移两个过程共同作用的结果。以往的研究表明,在应用HIFU后,角膜病变显示出更广泛的破坏,包括表层基质缺损,以及其周围形成的大片水肿和组织破坏。虹膜缺损和睫状肌痉挛既往也有过报道,可能是由于组织直接热凝固导致的。与角膜和虹膜缺损形态一致的白内障,说明能量肯定达到了晶状体的深度。Lizzi等的HIFU实验模型显示,聚焦超声产生的热量通过热凝固使晶状体内的蛋白质变性,形成致密的混浊物;在短至100毫秒的暴露时间内就可能导致白内障的形成。在治疗青光眼的超声睫状体成形术后也有发生白内障的报道。

该患者的白内障混浊尚未达到视轴,不需要进一步治疗。糖皮质激素是抑制免疫反应和胶原蛋白合成的抗炎药物,在HIFU治疗后当天数小时内早期局部使用糖皮质激素可能会缓解由于胶原蛋白收缩造成的过度伤口挛缩。


综上所述,HIFU治疗导致眼部热损伤的准确强度及其不可逆性需要进一步完善评估,并在其安全性研究完成之前暂停应用该治疗方法。应用期间所有患者都应考虑配戴护目镜进行防护。


参考文献:Marafon SB, Marinho DR, Kwitko S. Cornea opacity, uveitis with iris atrophy and lens damage following cosmetic high-intensity ultrasound of the eyelid: a case report. BMC Ophthalmol. 2023 May 22;23(1):230. doi: 10.1186/s12886-023-02947-9. PMID: 37217891; PMCID: PMC10201742.


声明:本文仅供医疗卫生专业人士了解最新医药资讯参考使用,不代表本平台观点。该等信息不能以任何方式取代专业的医疗指导,也不应被视为诊疗建议,如果该信息被用于资讯以外的目的,本站及作者不承担相关责任。

2 comments

发布留言

条评论

  • Linda Gareth
    2015年3月6日, 下午2:51

    Donec ipsum diam, pretium maecenas mollis dapibus risus. Nullam tindun pulvinar at interdum eget, suscipit eget felis. Pellentesque est faucibus tincidunt risus id interdum primis orci cubilla gravida.