Retina China 2023名家讲坛丨Timothy Lai教授谈AMD影像学新进展

  • 2023-08-05 17:45:00
  • 1186 Views

编者按:年龄相关性黄斑变性(AMD)是当今社会严重影响老龄人群视力的一种常见眼底疾病,也吸引着眼科医生不断进行相关诊疗探索。在2023年第二十四届中国眼底病论坛暨国际视网膜研讨会(Retina China 2023)上,来自香港中文大学眼科与视觉科学中心的Timothy Lai教授分享了AMD影像学的最新进展,为眼科医生更好地治疗AMD提供了助力。

图片


当今谈论最多的影像学检查方法是多种模式的眼底成像,譬如彩色眼底照像、免红光眼底照相(FP)、红外成像、眼底自发荧光造影(FAF)、荧光素血管造影(FA)、吲哚菁绿荧光造影(ICGA)、光谱域光学相干断层扫描(SD-OCT)、光学相干断层扫描血管成像(OCTA)。这些影像学检查方法可以用于AMD的分类、随访和制定诊疗计划、判断预后等。

图片


眼底照相在AMD患者诊疗中的应用

无论对于干性AMD还是湿性(新生血管性)AMD,FP都是最简单的成像方法,可以捕捉到各种类型的AMD眼底改变,譬如玻璃膜疣(Drusen)、网状假性玻璃膜疣、视网膜色素上皮层(RPE)萎缩、渗出、出血、纤维化等。

FP不但可以对Drusen的大小进行分级:微小<63微米、中度63~124微米、较大≥125微米,还可以了解Drusen的构成:软性(圆形或卵形、边界不清的沉积物)、假性Drusen (外形不规则、呈网状分布的白色沉积物)、厚性Drusen (卵圆形或更复杂、清晰的不规则外形)。

图片


FAF在AMD患者诊疗中的应用

FAF可以基于闪光或共聚焦扫描激光眼底检查(cSLO)进行,cSLO由于降低了信噪比并具备更强的蓝光刺激而性能更好。相较于彩色FP,FAF更能检测出早期和中期AMD的视网膜变化。正如GA临床试验显示的那样,FAF对检测RPE萎缩特别有用,FAF灌注区在GA临床试验中被用作主要终点。近来,FAF还可以用于定量评估。

一项有关FAF用于AMD定量评估的研究,对18例地图样萎缩(GA)患者的23只眼进行了SD-OCT和自发荧光造影(AF)定量评估。研究眼分为软性Drusen/色素上皮脱离(PED)前体、混合前体和视网膜下Drusen样沉积物(SDDs)组。SDD前体眼的qAF值明显高于软性Drusen/PED前体眼(71.62单位 vs 35.88单位,P < 0.05),这反映GA的发生发展可能经由两种不同途径。

图片

另一项有关不同种族患者地图样萎缩表型的研究发现,FAF、NIR和SDOCT均可以显示GA的病变特征。研究共纳入144例患者共169只眼(50.9%的亚洲人和49.1%的非亚洲人),亚洲人在基线时的GA面积较小,GA的生长速度也比非亚洲人慢。

图片

Pegcetacoplan(Syfovretm)是食品药品监督管理局(FDA)批准的首个基于DERBY和OAKS三期临床试验的GA治疗药物,注射治疗2年后GA的面积可减少20%。

Avacincaptad pegol(ACP)治疗AMD继发GA的2/3期GATHER-1试验显示,与对照组相比,2mg组(27.4%,P= 0.0072)和4mg组(27.8%,P= 0.0051) GA均显著降低,安全性可以接受。

在预测新生血管性年龄相关性黄斑变性(nAMD)的发生方面,FAF可能具有预测预后的价值。斑块型FAF比线状或网状型FAF发展为nAMD的几率更高(30.4% vs 25%和20.8%)。


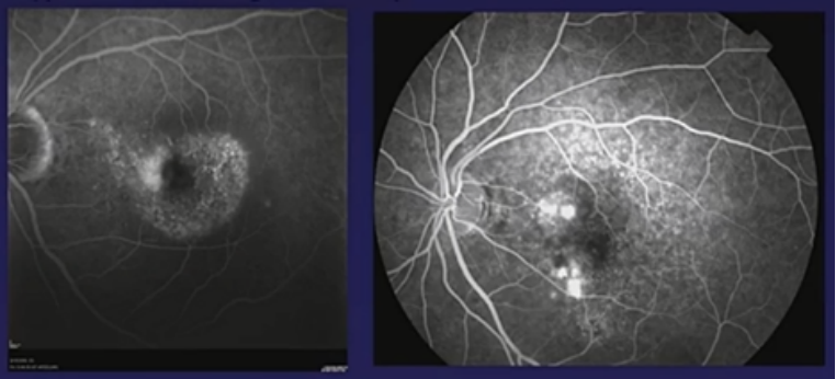
FA在AMD患者诊疗中的应用

一直以来,FA都被认为是nAMD诊断的金标准。根据黄斑新生血管(MNV)的位置和大小可分为黄斑下、黄斑旁、黄斑外三种,MNV的渗漏类型包括经典型、临界经典型、隐匿型(纤维血管PED和来源不明的渗漏)。MNV分为三型,1型主要是以隐蔽性渗漏为主、2型为典型的渗漏模式、3型表现为视网膜血管瘤增生。

图片

一项为期4年的回顾性分析,对SD-OCTFP和FA在nAMD中的应用效果进行了比较。共纳入411例患者的278只眼,根据SD-OCT 的CNV情况进行分级,231只眼根据FA上被诊断为CNV,其中经典无隐匿型27只眼、经典型16只眼、临界经典型40只眼、隐匿型129只眼。结果发现,SD-OCT的假阳性率为16.9%、灵敏度高(100%)、特异性80.8%。

另一项有关FA在AMD中应用的研究,回顾性分析了眼底病门诊就诊的200例nAMD患者共99只眼,在两种标准化临床场景下,在未行FA时,眼底病专家/研究人员判断选择观察或玻璃体腔内注射抗VEGF药物,2周后进行FA并再次征求眼底病专家/研究人员的意见,然后对两种诊疗方案进行对比。结果发现,FA并不影响对AMD患者脉络膜新生血管的初始临床处理。

图片


ICGA在AMD患者诊疗中的应用

ICGA是鉴别息肉样脉络膜血管病变(PCV)与典型nAMD-MNV的金标准。MNV在早期有不明确的高荧光,晚期呈斑块样。PCV呈结节状息肉样病变伴分支样新生血管网。

cSLO与闪光ICGA相比,二者的检查情况如何呢?有研究对44例PCV或典型nAMD患者的65眼采用cSLO和闪光ICGA进行了前瞻性成像分析,36眼(55.4%)有PCV,29眼(44.6%)有典型nAMD。两种方法之间存在中度相关性(kappa=0.53)。基于息肉的标准外观,80%以上的PCV均可被两种方法检测到。cSLO在某些其他特性上更胜一筹,尤其是分枝状脉络膜血管网(BVN)。

图片


SDOCT在AMD患者诊疗中的应用

SDOCT是AMD患者诊断的治疗研究标准,可以显示Drusen、Drusen样沉积物、假性Drusen、SRF、IRF、PED、MNV和GA 。SDOCT也可以用来区分PCV和典型的MNV,同时也是监测和决定nAMD治疗间隔的重要工具,并可以预估治疗反应。

图片


OCTA在AMD患者诊疗中的应用

OCTA是一种无创检测血管内血流的方法,无需使用外源性显影物质。OCTA可以通过检测RPE下方和Bruch膜上方的血流信号来识别非渗出性新血管病变(即非渗出性MNV),譬如扁平不规则的PED。

在AMD中,OCTA显示MNV由中央主干和周围的毛细血管丛组成。在各种研究中,OCTA的敏感性和特异性从50-100%不等。高PED和因血流导致的阴影会对检测产生影响,因此,在GA患者中需要仔细筛选平面,以避免出现伪影。


图片


小结:多模态成像技术的进步极大地改善了AMD患者的诊断和疾病特征显示能力。成像技术的快速发展,如FAF、SD-OCT和OCTA,为干性AMD和nAMD的治疗监测与预后评估提供了可能性。


声明:本文仅供医疗卫生专业人士了解最新医药资讯参考使用,不代表本平台观点。该等信息不能以任何方式取代专业的医疗指导,也不应被视为诊疗建议,如果该信息被用于资讯以外的目的,本站及作者不承担相关责任。

2 comments

发布留言

条评论

  • Linda Gareth
    2015年3月6日, 下午2:51

    Donec ipsum diam, pretium maecenas mollis dapibus risus. Nullam tindun pulvinar at interdum eget, suscipit eget felis. Pellentesque est faucibus tincidunt risus id interdum primis orci cubilla gravida.