编者按:时序流转,步履不歇。2025年,复旦大学附属眼耳鼻喉科医院常青教授带领团队在眼底病领域持续深耕,成果迭出:从玻璃体视网膜淋巴瘤(VRL)的影像与生化标志物探索,到糖尿病视网膜病变的分子机制研究;从早产儿视网膜病变的新型疗法开发,到遗传性眼病的精准诊断策略构建,每一步都凝聚着团队对光明事业的执着追求与科研探索的坚实脚印。一年来,团队坚持基础研究与临床实践深度融合,不仅在国际期刊上发表多项重要成果,更在转化医学与临床诊疗中提出了新的诊疗思路与技术优化路径。本文系统梳理常青教授团队2025年度具有代表性的科研进展,与眼科同道分享交流,以期共同推动眼科事业的进步与发展。

基础研究
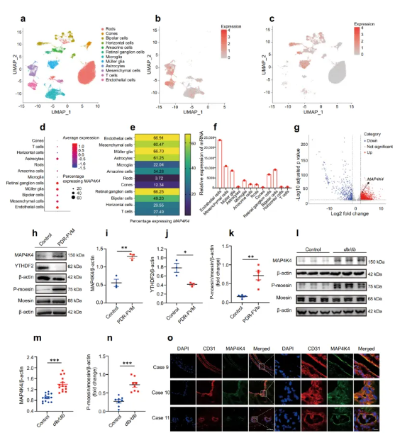
1.杨茜等人在糖尿病领域权威杂志Diabetologia上发表论文,对糖尿病视网膜病变的微血管异常机制进行深入研究,发现MAP4K4通过YTHDF2依赖的方式加重内皮细胞功能障碍,抑制MAP4K4可显著减轻视网膜血管泄漏和病理性新生血管,并改善视觉功能,为糖尿病视网膜病变的治疗提供了新靶点。

Yang Q, Zhu PW, Wen YJ, et al. MAP4K4 aggravates microvascular anomalies in diabetic retinopathy in a YTHDF2-dependent manner. Diabetologia. 2025;68(6):1335-1351. doi:10.1007/s00125-025-06398-3
2.居钰乔等人在Biomaterials Science上发表论文,开发了雷帕霉素负载PLGA纳米颗粒(RPM-PLGA NPs)用于治疗早产儿视网膜病变。在氧诱导视网膜病变(OIR)小鼠模型中,单次玻璃体内注射RPM-PLGA NPs显著减少了视网膜血管闭塞和病理新生血管区域,且对视网膜发育和主要脏器无毒性作用,为早产儿视网膜病变提供了一种安全、高效的新型纳米疗法。

Shi H, Ju Y, Chang Q, Cen L. Development of rapamycin-loaded PLGA nanoparticles for treating retinopathy of prematurity. Biomater Sci. 2025;13(14):3929-3941. doi:10.1039/D5BM00555H
3.朱佩文、常皓、杨茜等人在Investigative Ophthalmology & Visual Science上发表论文,发现使用小分子激活剂DASA-58稳定PKM2四聚体形式,可在OIR模型中显著降低新生血管面积、血管渗漏和改善视网膜电图反应,为早产儿视网膜病变等新生血管性疾病提供了新治疗策略。

Zhu P, Chang H, Yang Q, Chen W, Chang Q. Conformational dynamics of PKM2 regulate hypoxia-induced pathological retinal angiogenesis. Invest Ophthalmol Vis Sci. 2025;66(15):23. doi:10.1167/iovs.66.15.23
4.舒秦蒙、居钰乔等在Human Genomics上发表论文,对伴眼部受累的遗传性结缔组织疾病(HCTDs)进行了大规模中国队列研究。研究通过全外显子测序结合三维蛋白质结构建模和保守性分析,发现仅36.2%的初始临床诊断与最终分子诊断一致,并识别了31个新变异,显著扩展了HCTDs的突变谱系。

Shu QM, Ju YQ, Zong Y, et al. Reliability of clinical impressions and optimal genetic diagnostic strategies of heritable connective tissue disorders with ocular involvement in a large Chinese cohort. Hum Genomics. 2025;19(1):38. doi:10.1186/s40246-025-00749-2
临床研究
1.陈文文、蒋婷婷等人在American Journal of Ophthalmology上发表论文,首次对VRL患者光学相干断层扫描(OCT)中视网膜色素上皮(RPE)破坏性病变的成像特征和临床意义进行了系统性描述。该病变为VRL早期诊断和预后评估提供了特异性线索,并提示淋巴细胞可能通过RPE迁移的病理机制。

Chen W, Jiang T, Gu J, Liu S, Zhou X, Chang Q. Retinal pigment epithelium disruption lesions on optical coherence tomography in patients with vitreoretinal lymphoma. Am J Ophthalmol. 2025;283:100-108. doi:10.1016/j.ajo.2025.11.044
2.刘雨润、周心怡等人在Eye and Vision上发表论文,对VRL患者房水(AqH)和玻璃体液(VH)中白介素(IL-10和IL-6)的相关性进行了深入研究,发现VH中IL-10水平显著高于AqH,且AqH的IL-10/IL-6比率在VRL筛查中的敏感性不如VH参数(如IL-10>65pg/mL),特别是在无视网膜内浸润的病例中,建议对这类患者加强随访并考虑VH采样,研究有利于优化VRL的诊断流程和提高诊断准确性。

Liu Y, Zhou X, Zhang K, et al. Correlation between interleukins in aqueous humor and vitreous humor of vitreoretinal lymphoma patients. Eye Vis (Lond). 2025;12:22. doi:10.1186/s40662-025-00438-0
3.宣懿、唐文怡等人在Eye and Vision上发表论文,研究发现局灶性脉络膜凹陷(FCE)在中国脉络膜骨瘤(CO)患者中的患病率达46.2%,且疾病持续时间与FCE发生显著相关(P<0.01)。研究首次将FCE分为肿瘤边缘型(Type1)和肿瘤内部型(Type2),发现Type2 FCE患者更易出现外层视网膜管状结构(ORT)和脉络膜新生血管(CNV),提示FCE分类可能反映CO的不同进展阶段。

Xuan Y, Tang W, Ye X, et al. Prevalence and clinical correlates of focal choroidal excavation in a large cohort of Chinese patients with choroidal osteoma. Eye and Vis. 2025;12(1):35. doi:10.1186/s40662-025-00452-2
4.钦苓、周心怡等人在Acta Ophthalmologica上发表论文,提出一种诊断性玻璃体切割术中液体收集的改良方案。改良方法所获样本的DNA浓度显著提升(P=0.002),基因组测序成功率从71.4%提高至100%(P=0.042),为VRL的基因检测提供了更可靠的样本质量保障,有望推动液体活检技术在VRL诊断中的应用。

Qin L, Zhou X, Chen X, Gu J, Chen J, Chang Q. A modified protocol for fluid collection during diagnostic vitrectomy improves the quality of specimens in vitreoretinal lymphoma patients. Acta Ophthalmologica. Published online July 17, 2025:aos.17565. doi:10.1111/aos.17565
5.周心怡、蒋婷婷等人在Translational Vision Science & Technology上发表论文,首次使用SS-OCT/OCTA对VRL患者的脉络膜结构进行分析,发现VRL患者脉络膜血管指数(CVI)显著降低,反映了淋巴瘤在脉络膜水平的结构变化。在眼内化疗期间,脉络膜厚度(CT)、脉络膜血管体积(CVV)和脉络膜基质体积(CSV)均显著减少,这些变化在诱导阶段结束时即出现统计学差异,为VRL的诊断和治疗反应监测提供了无创、敏感的评估工具。

Zhou X, Jiang T, Liu S, et al. SS-OCT/OCTA assessment of choroidal structure in vitreoretinal lymphoma patients and their changes during intravitreal methotrexate chemotherapy. Transl Vis Sci Technol. 2025;14(10):25. doi:10.1167/tvst.14.10.25
6.蒋婷婷等人在Indian Journal of Ophthalmology上发表论文,对系统性淋巴瘤(SL)患者的眼部表现进行回顾性分析,发现继发性VRL和病毒性视网膜炎是SL的两种主要眼部并发症,通过玻璃体活检及PCR检测可有效鉴别两者,为SL患者的长期眼部监测与个体化治疗提供了重要临床依据。

Jiang T, Zhou X, Gu J, Chang Q. Ocular manifestations of systemic lymphoma. Indian J Ophthalmol. 2025;73(11):1607-1612. doi:10.4103/IJO.IJO_883_25
7.常青教授在第二十六届眼底病论坛暨国际视网膜研讨会(Retina China 2025)上,报告了其关于继发性VRL(SVRL)的临床探索。研究显示,SVRL的发病年龄、临床特征及治疗反应均与原发性VRL(PVRL)类似;其最常见的病理类型为弥漫大B细胞淋巴瘤(DLBCL)和NKT细胞淋巴瘤,原发部位多见于淋巴结、鼻咽部和乳腺。该研究表明,应用新的分子检测技术有助于SVRL的诊断及其与原发灶的同源性判断,这些发现增进了对该病的临床认知。
小结
回顾2025年,常青教授团队以“临床问题驱动科研”为核心,构建了从分子靶点挖掘到诊疗技术革新的完整创新链。通过在国际期刊的持续发声及在重量级学术会议上的深度交流,团队不仅为全球眼科同仁贡献了"中国方案",更为眼底病领域的临床实践注入了新的思考维度与创新动能。

常青 教授
复旦大学附属眼耳鼻喉科医院 教授、主任医师、博士生导师、玻璃体视网膜疾病学科主任
中国医师协会眼底病学组委员
中华医学会眼底病学组委员
中国医药教育协会眼科专业常委
中国女医师协会眼科专业委员
《中华眼底病杂志》、《眼科大查房》等杂志编委
声明:本文仅供医疗卫生专业人士了解最新医药资讯参考使用,不代表本平台观点。该等信息不能以任何方式取代专业的医疗指导,也不应被视为诊疗建议,如果该信息被用于资讯以外的目的,本站及作者不承担相关责任。
2 comments
京公网安备 11010502033360号
条评论
Linda Gareth
2015年3月6日, 下午2:51Donec ipsum diam, pretium maecenas mollis dapibus risus. Nullam tindun pulvinar at interdum eget, suscipit eget felis. Pellentesque est faucibus tincidunt risus id interdum primis orci cubilla gravida.