山容犹改,“视”事如棋——角膜移植术后视力下降1例

  • 2025-06-29 18:11:00
  • 756 Views

编者按:EB病毒(EBV)相关葡萄膜炎是由EBV感染引起的眼部炎症性疾病。EBV属于疱疹病毒家族,全球95%以上人群曾感染,病毒可终身潜伏于B细胞、上皮细胞等部位。EBV相关葡萄膜炎临床特点多样,可累及眼前后节,引发前葡萄膜炎、中葡萄膜炎、后葡萄膜炎或全葡萄膜炎,临床表现无特异性,常表现为前房KP、玻璃体混浊、视网膜血管炎等,常常被误诊。该疾病的诊断关键是通过房水PCR检测EBV DNA阳性,定量PCR或宏基因检测(NGS)可提高特异性;需排除真菌、细菌感染及眼内淋巴瘤等。治疗主要以抗炎及抗病毒为主。早期诊断并规范治疗,患者视力预后良好,但EBV感染是原发性眼内淋巴瘤(PIOL)的危险因素,需要警惕淋巴瘤的发生,密切随访患者。在第二十六届眼底病论坛暨国际视网膜研讨会(Retina China 2025)上,北京大学第三医院王霄娜医师分享了一位EBV相关葡萄膜炎患者的诊治过程,详细介绍了该病的临床特点和治疗方法,为广大眼科医师提供了诊疗参考。

图片

专家简介

图片

王霄娜

北京大学第三医院 眼科中心 眼底病组


主要成果:

1.光相干断层扫描血管成像在遗传性视网膜脉络膜变性疾病中的应用研究现状

2. PPD与结核感染T细胞斑点试验阳性的匐行样脉络膜炎眼底影像学特征研究

3.Analysis of Clinical Characteristics of Patients with Recurrent Cytomegalovirus Retinitis after Hematopoietic Stem Cell T ransplantation

4.B cell receptor signaling pathway involved in benign lymphoepithelial lesions of the lacrimal gland

5.OCT Features of Tuberculous Serpiginous like Choroiditis in Contrast to Serpiginous Choroiditis

6.Quantitative evaluation of primary retinitis pigmentosa patients using colour Doppler flow imaging and optical coherence tomography angiography.

7.Findings of Optical Coherence Tomography Angiography in Best Vitelliform Macular Dystrophy


参编著作:

1.《眼肿瘤相关知识问答》人民卫生出版社 参编

2.《眼肿瘤与眼眶病病例精粹》人民卫生出版社 参编

3.《病理性近视》天津科技翻译出版有限公司 参译


病例回顾

患者,男,53岁

主诉:左眼视物模糊2月

现病史:2个月前开始出现左眼视物模糊伴眼红肿,遂就诊于北京大学第三医院眼科门诊,诊断为“左眼葡萄膜炎”。

既往史:4个月前左眼被叶子划伤后出现红肿畏光流泪,外院诊断左眼真菌性角膜溃疡,曾局部抗真菌用药及羊膜移植,治疗效果欠佳,遂我院行左眼穿透性角膜移植。近期局部使用那他霉素眼液、加替沙星凝胶、贝复舒眼液、他克莫司眼液,并口服环孢素胶囊。否认高血压、糖尿病、风湿类等全身疾病。

专科查体:矫正视力右眼1.0,左眼0.07。非接触眼压右眼13mmHg,左眼19mmHg。左眼角膜植片透明,缝线不松,鼻下方植片可见新生血管,前房羊脂状KP++,虹膜颞侧前粘连,下方虹膜周切,瞳孔不圆,晶状体轻度混浊(图1)。眼底玻璃体混浊,隐见视网膜在位,周边血管霜样改变,视盘色可。右眼未见明显异常(图2)。

图片

图1. 左眼裂隙灯检查结果

图片

图2. 双眼眼底检查结果


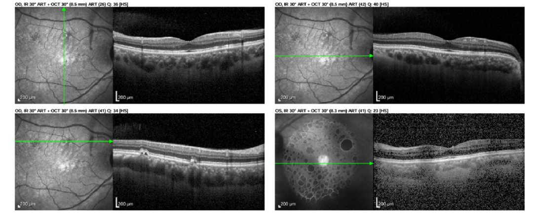
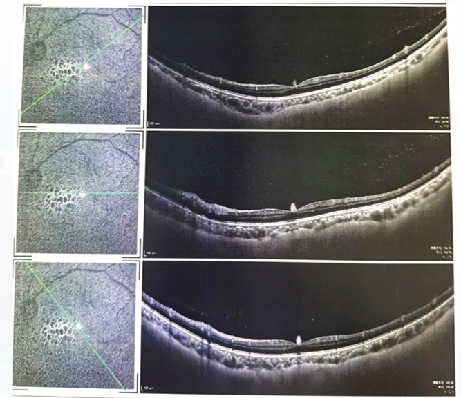
OCT:左眼玻璃体多发点状高反射,黄斑区视网膜结构尚完整(图3)。右眼黄斑上方可见两处视网膜色素上皮脱离(PED),余黄斑区视网膜结构尚完整(图4)。


图片

图3. 左眼外院OCT检查结果


图片

图4. 双眼OCT检查结果


眼部B超:左眼玻璃体混浊,右眼未见明显异常。

FFA:左眼屈光间质混浊,左眼视网膜动静脉充盈好,动脉走形稍迂曲,晚期视盘高荧光,视盘及颞侧周边轻微渗漏。右眼未见明显异常。


为明确葡萄膜炎性质及病因,进一步完善化验检查

1、感染相关指标中,血象、C-反应蛋白(CRP)、红细胞沉降率(ESR)均无明显异常,T-spot阴性,传染病四项阴性(包括:乙肝、丙肝、梅毒、艾滋病)。

2、免疫相关指标中,IgG、IgM、cANCA、pANCA等抗体以及补体、HLA-B27等定量检测均正常,ACE测量值升高。

3、PET-CT扫及全身未见明确高代谢恶性肿瘤及活动性炎症表现。

4、血液流式结果均正常。

5、眼内液病毒检测:EBV为5.49×10^6copies/ml,细胞因子显示全系因子均升高,IL-10绝对值56.7pg/ml。补充血液EB病毒DNA载量阴性。

6、血液科、风湿科、呼吸科会诊暂无需处理情况。

基于以上病情,患者暂时不能完全排除眼内淋巴瘤诊断,遂为患者安排左眼诊断性玻切+前房穿刺冲洗+白内障超声乳化+人工晶状体植入+玻璃体腔注药更昔洛韦4mg。


术后标本提示

1、玻璃体涂片查见许多散在分布的小淋巴样细胞或单核样细胞,及胞浆比较丰富的小圆形巨噬细胞和一些蛋白性渗出及变性的红细胞,另外可见一些体积稍大的圆形细胞,其胞核形态欠规则,染色质较深,有少许红染的胞浆。

2、玻璃体细菌、真菌培养阴性。

3、玻璃体流式:未见明显异常。

4、房水和玻璃体细胞因子:显示全系细胞因子升高,前房炎症较后段炎症重。

5、宏基因检测:EBV及肿瘤信号阳性(图5)。


图片

图5. 宏基因检测结果


最终诊断

1. 左眼EBV相关葡萄膜炎

2. 左眼真菌性角膜溃疡(穿透性角膜移植术后)

3. 左眼白内障


治疗

1. 局部:氯替泼诺混悬滴眼液QID、那他霉素QID、他克莫司QID、球后注射曲安奈德40mg ONCE

2. 全身:伐昔洛韦口服0.3g TID


病例讨论与延展思考

EBV是一种广泛传播的疱疹病毒科DNA病毒,全球约90%的成人曾感染。EBV主要通过唾液传播,感染后病毒可长期潜伏于B淋巴细胞,并在免疫力低下时再激活,与多种疾病相关。近年来研究发现,EBV感染还可能与眼部疾病(如葡萄膜炎)及眼内淋巴瘤的发生密切相关。

EBV相关淋巴组织增生性疾病(LPD)是由EBV感染驱动的淋巴细胞异常增殖性疾病,与宿主免疫状态密切相关,涵盖广泛临床谱。分类包括:良性病变如传染性单核细胞增多症、慢性活动性EBV感染;交界性病变如EBV相关噬血细胞性淋巴组织细胞增生症、移植后淋巴组织增生性疾病;恶性淋巴瘤如Burkitt淋巴瘤、经典型霍奇金淋巴瘤、外周T细胞淋巴瘤;以及免疫缺陷相关的X-连锁淋巴组织增生性疾病等。诊断需结合病原学、病理及临床背景,治疗依病情采用抗病毒、化疗、免疫治疗或造血干细胞移植等,早期干预对改善预后至关重要。

眼内淋巴瘤(Intraocular Lymphoma)是一种罕见恶性肿瘤,其中原发性玻璃体视网膜淋巴瘤(PVRL)占多数,属于非霍奇金B细胞淋巴瘤,常伴中枢神经系统受累。研究表明,约20%~30%的PVRL患者眼内样本中可检出EBV DNA,提示病毒可能参与致病。EBV通过潜伏膜蛋白(LMP1/2)激活NF-κB等信号通路,诱导B细胞异常增殖及抗凋亡,最终导致恶性转化。此外,EBV感染可能通过干扰局部免疫微环境(如抑制T细胞功能)促进肿瘤进展。值得注意的是,EBV阳性眼内淋巴瘤多发生于免疫功能低下(如HIV感染或器官移植后)患者。

角膜移植术后抗排异治疗及病毒感染,经常是矛盾的,需要对患者进行比较密切的随访。EBV的眼内感染又扮演了双重角色,EB病毒不仅可以对眼内组织造成直接的损伤,而且还可以使B细胞发生异常增殖,最终转化为淋巴瘤。该患者眼部病情特殊,治疗时需要同时考虑眼底的病情及角膜植片的保护问题。EBV致病的具体机制尚未完全阐明,未来需通过多组学技术及跨学科合作,进一步揭示EBV与眼部疾病的深层联系,以优化精准诊疗策略。


声明:本文仅供医疗卫生专业人士了解最新医药资讯参考使用,不代表本平台观点。该等信息不能以任何方式取代专业的医疗指导,也不应被视为诊疗建议,如果该信息被用于资讯以外的目的,本站及作者不承担相关责任。

2 comments

发布留言

条评论

  • Linda Gareth
    2015年3月6日, 下午2:51

    Donec ipsum diam, pretium maecenas mollis dapibus risus. Nullam tindun pulvinar at interdum eget, suscipit eget felis. Pellentesque est faucibus tincidunt risus id interdum primis orci cubilla gravida.