编者按:在眼科临床实践中,玻璃体切除术是一种常见的手术方式。然而,由于意外或者术者经验不足等原因,手术过程中可能会导致后囊损伤。对于合并后囊缺损的白内障手术而言,处理起来是一项复杂且极具挑战性的任务。这类手术不仅要求对眼部结构的异常变化进行精准评估,还必须在人工晶状体(Intraocular lens, IOL)植入方案的设计中充分考虑其长期稳定性与术后屈光效果,堪称是在“薄弱地基”上构建“稳固建筑”。上海大学附属上海和平眼科医院郭海科教授、张丽梅副主任医师、陈宣竹主治医师通过一例曾接受玻璃体切除联合视网膜脱离复位术、术后短期内出现晶状体混浊的复杂病例,系统阐述了其术前评估思路、手术方案选择及关键技术操作,并深入分析了保障手术成功的核心策略与临床要点,为临床诊疗提供参考依据。
病例回顾:视网膜脱离术后复杂眼疾交织,手术如何化险为夷?
患者基本情况
男性,53岁。
主诉:右眼突然视力下降3月余。
现病史:3月余前无明显诱因出现右眼视力突然下降,于外院就诊,诊断“右眼视网膜脱离”,行“右眼视网膜脱离复位术(具体术式不详)”。术后视力恢复欠佳。
既往史:“糖尿病”病史5年余,药物控制可。“高血压病”病史5年余,药物控制可。无药物及过敏史,无家族遗传史。
患者诉求:提高右眼视力,拒做左眼白内障手术。
眼部检查情况
基础检查

眼前节照相

前节OCT

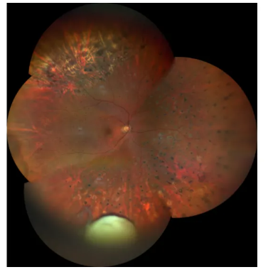
眼底照相

IOLMaster700

PENTACAM

Itrace

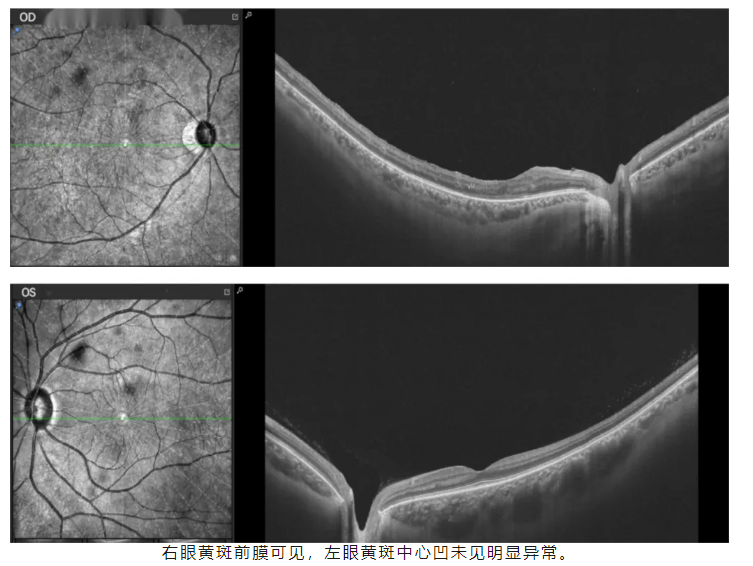
黄斑OCT和HRA-OCT


B超

散瞳后眼底检查
怀疑右眼晶状体脱位于后极略颞下方眼底,故进行了散瞳后眼底检查,发现坐位下可见晶状体于后极部,需进一步切除残余皮质,避免内源性眼内炎、葡萄膜炎等。

视野

角膜内皮

初步诊断
(1)右眼并发性白内障
(2)右眼视网膜复位术后(玻璃体切割术后)
(3)右眼黄斑前膜
(4)左眼皮质性白内障初发期
(5)双眼屈光不正
(6)双眼糖尿病性视网膜病变
(7)2型糖尿病
手术方案
专科检查、前节OCT检查及B超检查提示,右眼视网膜复位术后状态,晶状体颞侧楔形混浊,且存在鼻侧后囊及皮质缺失,但前囊完整。基于其复杂的眼部手术史及后囊局部缺失,手术方案设计如下:
1.计划行飞秒激光辅助白内障手术,重点在于利用飞秒激光完成直径5.2mm前囊撕开,以最大限度保障后续IOL植入的稳定性;
2.由于囊袋的支撑力不足,则采用“IOL前囊夹持”方法,将IOL的光学部夹持在前囊口后方,利用前囊膜来固定IOL;
3.同时需备IOL悬吊术以应对后囊支撑不足可能引发IOL植入不稳定。患者眼轴长度26.88mm,根据IOL植入部位不同进行屈光度数调整,计划于睫状沟内植入三片式IOL(度数+16D,目标屈光状态-2.00D)。
4.术中同时实施右眼玻璃体腔切除术,以清除残余晶状体核及皮质,从而预防内源性眼内炎、葡萄膜炎、视网膜脱离等并发症。
术后随访

术后前节OCT

术后视觉质量

从病例出发:剖析玻璃体切除术后白内障手术的手术风险、应对策略与经验启示
手术风险
对于玻璃体切除术后并发白内障的患者,手术的主要风险源于眼内支撑结构的破坏。具体表现为:悬韧带松弛脆弱,容易导致晶状体脱位;囊袋支撑力不足(通常伴有后囊缺损),使得手术空间的维持变得困难,晶状体皮质容易坠入玻璃体腔。这些问题进而引发IOL植入与固定的挑战,通常需要借助前囊夹持、巩膜固定等特殊技术。此外,眼内环境的不稳定也导致术中炎症反应加重,并发症风险升高。因此,手术成功的关键在于术前通过B超、前节OCT、UBM等检查手段对囊袋、悬韧带和眼底进行精细评估,术中灵活应对,并制定联合手术预案,以有效防范风险,保障术后视功能。
应对策略
在本次病例中,术前检查显示晶状体已完全混浊。前节OCT检查表明后囊存在缺损,而B超提示“右眼颞下方玻璃体腔可见环形强回声影,后极部视网膜略增厚”,散瞳后发现部分晶状体落入玻璃体腔。基于这些检查结果,我们采用了飞秒辅助的phaco+IOL+玻切术。由于患者存在后囊缺损,术中采用“IOL前囊夹持”技术,将IOL的光学部分夹持在前囊口后方,利用前囊膜来固定IOL。
经验启示
1.本病例提示,对玻璃体切除术后白内障患者,需综合B超、OCT、UBM等检查充分评估囊袋、悬韧带及眼底状况,术中妥善处理囊袋缺损,并警惕晶状体残留风险,以保障手术安全与视觉质量。
2.当前囊完整而后囊存在缺损时,务必确保前囊的撕囊操作精准无误。相比传统方法,飞秒激光能够提供更高的准确性。术中,IOL的光学部可以稳固地嵌合在前囊囊袋内,从而确保IOL居中且稳定,有效防止IOL倾斜。
3.对于后囊存在缺损的白内障患者,术前需对囊袋的完整性和眼底状况进行严格检查。除了白内障皮质吸收外,晶状体膨胀也可能导致晶状体脱位至眼底。
总结
该病例的关键在于应对玻璃体切除术后短期内出现的并发性白内障且伴有后囊缺损这一复杂情形。首先,应着重关注后囊缺损以及眼部损伤的具体状况。借助B超、前节OCT、UBM等精准检查手段,细致评估晶状体皮质的状态以及IOL脱位的潜在风险,并剖析其对眼底产生的影响。鉴于后囊缺损,无法实施常规的囊袋内植入操作,故将“前囊夹持IOL”作为稳定IOL的首选方案,同时准备了“经巩膜IOL悬吊”作为备用预案。最终,所有决策均围绕“确保IOL稳定性”这一最终目标来制定,其中包括选用三片式IOL,并与患者进行充分沟通,进而从整体上保障了手术的安全性以及术后效果的长期稳定性。
声明:本文仅供医疗卫生专业人士了解最新医药资讯参考使用,不代表本平台观点。该等信息不能以任何方式取代专业的医疗指导,也不应被视为诊疗建议,如果该信息被用于资讯以外的目的,本站及作者不承担相关责任。
2 comments
京公网安备 11010502033360号
条评论
Linda Gareth
2015年3月6日, 下午2:51Donec ipsum diam, pretium maecenas mollis dapibus risus. Nullam tindun pulvinar at interdum eget, suscipit eget felis. Pellentesque est faucibus tincidunt risus id interdum primis orci cubilla gravida.