中心性浆液性脉络膜视网膜病变(CSC)表现为浆液性神经视网膜脱离,其原因是视网膜色素上皮(RPE)的液体渗漏。而既往文献报导脉络膜新生血管(CNV)在CSC中的发生率为2%-15.6%,而这也是造成患者视力下降的主要原因之一。由于OCTA的发展,CNV可以通过更简单的方式被检测到。目前,在慢性CSC中CNV长期病程变化的研究非常有限。因此研究者通过OCTA对慢性CSC患者进行3年的随访,以观察报导CNV的病程和结构的改变。相关研究结果发表在BJO上。
本研究为一个回顾性的研究,纳入的慢性CSC患者既往至少有6个月提示为CSC的临床症状,且临床检查存在浆液性视网膜脱离、RPE改变及典型的荧光血管造影(FA)和吲哚菁绿血管造影(ICGA)表现。患者被纳入研究前至少已经通过OCT等随访3年。纳入后继续通过OCTA检查随访3年。同时有其他视网膜疾病,如AMD,高度近视(大于-6D),糖尿病视网膜病变,玻璃体视网膜疾病,遗传性视网膜疾病,眼内炎症的患者被排除。
纳入的患者均进行3X3mm的OCTA扫描(Optovue, Fremont, California, USA),通过ImageJ来测量CNV的病灶大小和血管密度(VD)。对CNV病灶的形态进行分析,包括中心血管可见度(可见/不可见)、CNV位置(中心凹累及/不累及)和CNV边界(清楚/不清楚)。通过OCT对中心视网膜厚度(CRT)和中心凹下脉络膜厚度(SFCT)进行检测。患者若出现复发的渗出性改变,包括视网膜下积液(SRF),视网膜下出血等时,玻璃体腔注射阿柏西普作为一线治疗方式,光动力疗法(PDT)作为一种补救疗法。最后对相关结果进行统计学分析。
研究最后共纳入26个患者的30只眼(男性17,女性9),所有的患眼均有CNV且通过OCTA进行了至少3年的随访观察。患者平均年龄为50.72±7.73岁(分布,34-66岁)。其中4个患者(患者1,13,23,5)在纳入研究前有反复的SRF,且均接受过半剂量PDT和抗VEGF的治疗。其余26只眼在纳入研究前的3年均没有SRF。表1总结了所有患者纳入研究时的基本临床特征。
表1. 纳入患者的临床特征
通过OCTA对CNV的平均随访观察时间为40.37±4.11月(分布,36-44月)。表2总结了研究初次和末次检查时BCVA,视网膜和脉络膜厚度,CNV血管的比较情况。分析发现logMAR BCVA没有明显的变化。CNV的病灶大小明显扩大了,VD明显减少了。同时末次检查CNV中可见中心血管比例更高,边界更清楚(图1和2)。另外SFCT明显减少,CRT没有明显变化。4只既往存在SRF的患眼中有3只眼在研究过程中出现SRF,并进行了治疗。但是这些患眼的BCVA前后没有明显的变化(基线:0.43±0.49 VS 末次:0.58±0.58,p=0.343)。
表2. 首次和末次视网膜,脉络膜厚度和CNV的比较
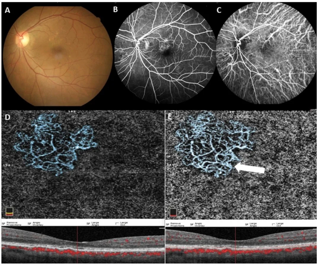
(22).jpg)
图1. 患者10的多影像检查结果。
A, B, C, D. 患者首次检查时的结果 E.患者末次检查时的OCTA结果
图2. 患者5的多影像检查结果。
A, B, C, D. 患者首次检查时的结果 E.患者末次检查时的OCTA结果
综上所述,尽管慢性CSC患者的CNV会有结构性的改变,但是在3年的病程中仍然保持了一个相对稳定的病程。但是更大样本和更长时间的随访在未来的研究中是必要的。
参考文献:Chen YC, Chen SN. Three-year follow-up of choroidal neovascularisation in eyes of chronic central serous chorioretinopathy. Br J Ophthalmol. 2020 Feb
点评
吴婵
北京协和医院
中心性浆液性脉络膜视网膜病变(CSC)患者中约5%为慢性CSC(cCSC),常可导致视功能受损。长期随访发现,CNV的发生是cCSC视力下降的主要原因之一。FA和ICGA是目前诊断CNV的标准工具,但是,由于cCSC中RPE弥漫性改变所致的窗样缺损,以及脉络膜高通透性所致的染料渗漏,部分CNV在FA或ICGA上难以识别,更难以随访。OCTA对于CNV的大小、血管密度和形态等可以进行较全面的监测,为cCSC中CNV的诊断及随访带来了便利,但目前相关的报道较少,因此,该研究利用OCTA及OCT对于cCSC中的CNV进行了3年的随访,对于深入了解cCSC的病程发展有着较为重要的临床意义。
该研究发现,在3年的随访中,cCSC合并CNV眼的BCVA几乎都没有明显变化,SRF的复发率也很低。大多数CNV为1型CNV,仅有1眼为PCV,另1眼为2型CNV。在结构方面,SFCT逐渐变薄,CNV增大,CNV血管密度降低,中心血管可见的CNV及边界清晰的CNV比例更高。因此,cCSC中的CNV是相对稳定的,类似AMD中的静止性CNV,也就是OCT结构上至少6个月没有视网膜内或视网膜下渗出的CNV。
此外,纳入研究的30只眼中,仅有5只眼有活动性渗出,在接受IV-aflibercept后,仍有2只眼有持续性SRF,随后接受了半量PDT,随访结束时这2只眼仍有持续性SRF,但BCVA无明显变化。这也说明部分cCSC的CNV不管对于抗VEGF还是PDT都是不敏感的,但对于BCVA影响似乎并不大。
因此,综合以上两点,是否提示我们,cCSC合并CNV通常相对稳定,不需要特别积极的治疗呢?考虑到该研究的样本量相对较小,而且患者在入组前接受过的cCSC治疗也许对临床进程有影响,同时,这些CNV是源于cCSC还是治疗尚不确定,我们仍需要有更大样本量及更长随访时间的研究来进一步验证。
2 comments
京公网安备 11010502033360号
条评论
Linda Gareth
2015年3月6日, 下午2:51Donec ipsum diam, pretium maecenas mollis dapibus risus. Nullam tindun pulvinar at interdum eget, suscipit eget felis. Pellentesque est faucibus tincidunt risus id interdum primis orci cubilla gravida.