管怀进教授:关注糖尿病性白内障手术中DR和DME的检查与处理

  • 2023-09-06 18:26:00
  • 935 Views

编者按:糖尿病和白内障均为临床常见疾病,二者关系非常密切,眼科临床常见糖尿病性白内障患者前来就诊。此类患者病情复杂,眼底检查存在困难,治疗方案也多种多样。如何在术前更好地观察糖尿病性白内障患者的眼底情况?如何使用最适宜的方法治疗糖尿病性白内障患者?这些都是眼科医生面临的重要课题。在中华医学会第二十三届全国白内障及屈光手术学术会议(CSCRS 2023)上,南通大学附属医院管怀进教授分享了糖尿病性白内障手术中糖尿病视网膜病变(DR)和糖尿病黄斑水肿(DME)的检查与处理方法,助力眼科医生更好地治疗糖尿病性白内障患者。


前瞻性病例对照研究设计概况

管怀进教授团队进行的这项临床前瞻性病例对照研究旨在探讨术前窥不清眼底的糖尿病性白内障患者在超声乳化手术中进行实时眼底检查能否诊断出DR和DME,并观察术中对严重的DR、DME进行抗血管内皮生长因子(VEGF)或抗炎治疗的疗效。

研究共纳入2021年1月~2022年1月于南通大学附属医院眼科中心行白内障超声乳化联合人工晶状体植入术的窥不清眼底的糖尿病性白内障患者350例(381只眼)。术中利用广域数字化视网膜成像系统(WFIS)、25G导光纤维和非手术显微镜内置的直立式术中相干光层析成像术(iOCT)进行实时眼底检查。将需要治疗的75例85眼随机分为三组,A组为抗血管内皮生长因子(抗VEGF)组,B组为抗炎治疗组,C组为未干预组(玻璃体腔未注药)。对比分析入组患者术前1天及术后1、4、12周的最佳矫正视力(BCVA)、DR严重程度、黄斑中心区厚度(CST)和黄斑总体积(TMV)。采用非参数秩和检验和卡方检验进行统计分析。


多种实时眼底检查可用于诊断DR和DME

白内障术中眼底检查350例(381眼)发现DR130例(142眼),检出率为37.3%(142/381),其中轻度非增殖型糖尿病视网膜病变(NPDR)者25眼、中度NPDR者66眼、重度NPDR者38眼、增生型糖尿病视网膜病变(PDR)者13眼。发现DME有69例83眼,检出率为21.8%(83/381),其中78只眼累及黄斑中心凹,5只眼未累及黄斑中心凹。


图片

图1. 术中三种眼底检查方法 1A示导光纤维观察眼底;1B示广域视网膜照相;1C示术中OCT检查眼底

图片

图2. 术前窥不清眼底的4位糖尿病合并年龄相关性白内障患者,术中采用25G导光纤维联合角膜接触镜观察眼底所见。2A可见黄斑区散在出血点;2B可见视乳头周围火焰状出血;2C可见大片硬性渗出;2D可见黄斑区硬性渗出

图片

图3. 术前窥不清眼底的2位糖尿病合并年龄相关性白内障患者,术中采用SW-8000广角探头观察眼底所见。3A示右眼,可见黄斑区散在出血点和硬性渗出;3B示左眼,可见黄斑区硬性渗出

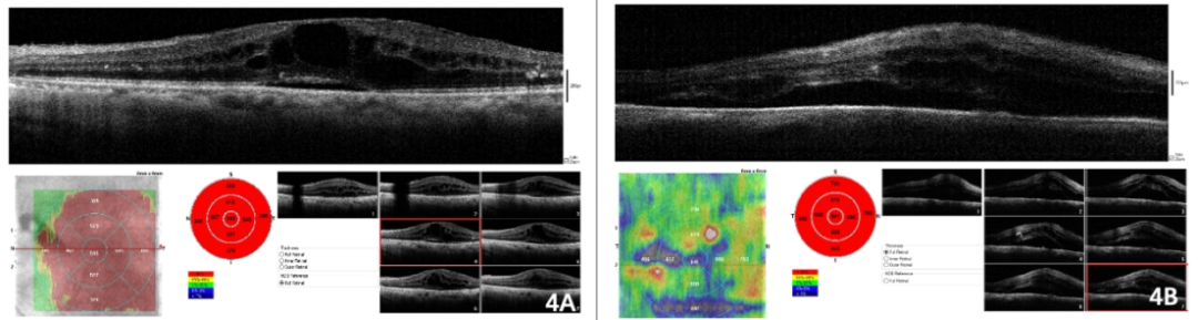
图片

图4. 术前窥不清眼底的2位糖尿病合并年龄相关性白内障患者,术中采用iVue OCT观察眼底所见。4A示黄斑区囊样水肿;4B示中心受累的黄斑水肿


白内障术中实时抗VEGF或抗炎治疗效果探讨

需要治疗的有75例85眼,分至A组29眼,B组28眼,C组28眼。术后12周,A组视力从字母数(39.1±14.2)个提高至(70.5±10.1)个,B组从字母数(34.1±13.3)个提高至(71.2±11.3)个,C组从字母数(34.1±17.3)个提高至(56.5±13.9)个,三组患者BCVA均较术前改善,差异有统计学意义(Z=-0.3,P=0.04)。术后12周,抗VEGF组治疗的总有效率为94.1%,抗炎治疗组为96.4%,均高于未干预组总有效率(42.9%),差异有统计学意义(χ2 =43.54,P =0.001)。术后12周,A组CST从(359.7±114.3)μm降至(281.8±52.0)μm,B组从(354.3±153.9)μm降至(283.5±61.9)μm,C组从(356.3±99.9)升至(399.4±105.8)μm,A组和B组患者CST较术前下降,C组较术前上升,差异有统计学意义(Z=-6.2,P=0.03)。术后12周,A组TMV从(10.84±1.8)mm3升至(10.9±1.3)mm3,B组从(11.2±3.0)mm3降至(11.1±1.2)mm3,C组从(11.0±1.5)mm3升至(12.2±1.7)mm3,A组和C组患者TMV较术前上升,B组较术前下降,差异有统计学意义(Z=-1.1,P=0.047)。A组术后1周有1眼、B组术后1天有2眼出现轻度眼压升高,均在处理后1周内降至正常。


图片

图5. 三组术前术后不同时间点CST变化(μm)


研究启示

这项研究表明,术前窥不清眼底的糖尿病性白内障患者,在术中可以利用WFIS、25G导光纤维和iOCT检查诊断DR和DME。白内障术中实时抗VEGF治疗或抗炎治疗可以改善患者的视力,减小黄斑区视网膜厚度,提高临床治疗效果,延缓DR进展。


研究相关信息:

题目:糖尿病性白内障术中DR和DME的检查与处理

作者:管怀进,沈尧


图片

管怀进 教授 

二级教授,主任医师,博士生导师 

1987年中山医科大学眼科研究生毕业,现任南通大学附属医院眼科中心主任、中华医学会眼科学分会委员、专家会员,中国医师协会眼科医师分会常委、江苏省医学会眼科学分会前任主任委员、江苏省医师协会眼科医师分会候任会长、江苏省眼科联盟负责人、中国眼科博物馆馆长、《中华眼科杂志》等杂志编委、副主编,承担国家自然科学基金等各级科研项目38项,发表论文300余篇(SCI收录论文70余篇),主编《眼科学》(案例版)、《现代基础眼科学》、《眼科手术操作技术》等专著10余部。荣获卫生部优秀眼科医生、交通部优秀教师、中国眼科医师奖、全国五一劳动奖章、亚太防盲杰出成就奖、国务院政府特殊津贴专家等。近10年来,在白内障分子生物学领域,管怀进教授以第一或通讯作者发表论文150篇,其中SCI论文67篇,中华系列论文38篇。2021年初,欧洲“Expertscape”机构公布了最新的“Expertise in Cataract:Worldwide”,即“全球白内障专家”的国际排名,管怀进教授位列第49名,在国内排名第6。管怀进教授及其团队开展的白内障分子遗传学研究曾获中华医学科技奖三等奖和江苏省科学技术奖二等奖等。


声明:本文仅供医疗卫生专业人士了解最新医药资讯参考使用,不代表本平台观点。该等信息不能以任何方式取代专业的医疗指导,也不应被视为诊疗建议,如果该信息被用于资讯以外的目的,本站及作者不承担相关责任。


2 comments

发布留言

条评论

  • Linda Gareth
    2015年3月6日, 下午2:51

    Donec ipsum diam, pretium maecenas mollis dapibus risus. Nullam tindun pulvinar at interdum eget, suscipit eget felis. Pellentesque est faucibus tincidunt risus id interdum primis orci cubilla gravida.