CCOS神经眼科丨听肖彩雯教授讲述儿童视神经损伤的诊疗经验

  • 2023-09-09 22:04:00
  • 1982 Views

按:视神经损伤是由许多眼部疾病所导致的视功能损害,严重时会造成患者视功能的不可逆丧失,逐渐出现视神经萎缩,称之为“外伤性视神经病变 (TON) ”。TON是颅脑损伤中常见和严重的并发症之一,导致受伤的原因有车祸伤、坠落伤、摔伤等。儿童视神经损伤临床相对少见,但儿童头颅仍处于发育阶段,与成人差异较大,外伤后CT表现常常缺乏明显骨折征,容易误诊漏诊。儿童延迟诉说视力下降,未引起家长的注意,造成延误治疗,为儿童视神经损伤的救治增加了挑战。中华医学会第二十七次全国眼科学术大会(CCOS2023)正在长沙如火如荼举行,会议上上海交通大学医学院附属第九人民医院肖彩雯教授聚焦儿童视神经损伤的诊疗,从儿童视神经损伤的临床特征、诊断等多方面内容进行了详细阐述。


TON简述

TON常因眼眶外上方额颞部突然遭受钝性外力作用后导致的不同程度视力下降。视力下降非常迅速,但下降的程度与表皮损伤不一定成正比,有时很轻的皮肤外伤可能会导致黑矇眼。从流行病学统计数据来看,TON多发生于青壮年男性,儿童相对少见,男孩大于女孩。致伤原因中,车祸伤占首位(50%-65%)、其次为坠落伤和摔伤(13%-28%),儿童多为摔伤或骑车带行车祸。

依发病机制,TON分为原发性损伤和继发性损伤两类

原发性损伤:外界钝力作用对视神经纤维造成冲击、震荡、剪切、扭曲等致其断裂、撕裂或滋养血管断裂;神经管骨折碎片锐性切割等而引起视神经轴索中断。

继发性损伤:视神经管骨折压迫、鞘膜下或鞘内血肿、视神经束肿胀、或滋养血管痉挛、栓塞或受压,最终导致视神经缺血缺氧和神经递质的传输障碍,炎症细胞侵入介导的炎症损伤所致。

TON患者年龄比例

统计分析了300余例视神经损伤就诊患者的临床资料,发现实施手术患者221例;有两次以上系统随访记录的147例;其中未成年26例,再其中学龄前儿童9例+2例 。

图片



儿童TON的临床特点

儿童视力损伤致伤原因常常是摔伤,或高处摔下。外观损伤轻微,有的仅表现为眼睑淤血、皮肤擦拭 。较少出现意识的短暂丧失或昏迷。由于儿童的诉说能力差,家长注重脑外伤而忽略了视力检查,视力下降发现常常滞后。解剖上由于鼻窦发育不充分,CT仅表现为鼻窦积血、无明显骨折征。儿童进行电生理和视野检查的配合度差更是造成漏诊的主要原因之一。


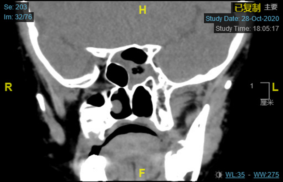
图片

碟筛出血/没有明确的骨折或移位

视神经分为球内段、眶内段、管内段、颅内段,儿童在视神经进入视神经管、骨管内、镰状褶皱处视神经易受损伤。


图片


儿童TON表现为视力下降,RAPD(+),HRCT征象包括后组筛窦或蝶窦腔内积血,视神经管骨折或不明显,视神经显著增粗、扭曲扩张,球后肌锥内,特别是眶尖部血肿或气肿。


儿童TON的诊断

1、必要条件:(1)存在颅颌面部,特别是额颞部外伤史;(2)伤后急性视功能受损证据,例如视力减退或失明、视野缺损、色觉障碍等,并排除既往疾病所致者;

2、支持条件:(1)RAPD(+),而眼内无导致RAPD阳性的异常改变;(2)F-VEP检查提示波幅降低、波形消失或潜伏期延长,而眼底未见视网膜严重病变。

单眼受累或双眼受累程度不一致时具备支持条件(1),而双眼受累程度相似时,具备支持条件(2),再具有两条必要条件即可确诊TON。


图片

左图 成人的视神经管骨折显示骨折碎片右图 儿童的视神经损伤仅表现为骨折线



总结:儿童TON可能表现为外观伤情较轻,伤后视力下降发现滞后,CT检查骨折移位不明显,容易造成误诊漏诊,需要谨慎仔细甄别,密切随访观察。然而儿童视神经的纤维数目多,自体修复能力强,及时治疗后视力提升速度快,视神经恢复的功能可能性大于成人,更有望恢复有用的视力。


图片

肖彩雯 医学博士  

斯坦福大学、加州大学访问学者  

  • 上海交通大学医学院附属第九人民医院眼科主任医师,硕士研究生导师
  • 中华医学会眼科学分会神经眼科学组委员
  • 中国研究型医院学会神经眼科专业委员会委员
  • 中华志愿者协会中西医结合委员会常务委员
  • 海峡两岸医药卫生交流协会眼科专委会内镜微创手术学组员
  • 中华医学会上海神经眼科及葡萄膜炎学组副组长
  • 亚太眼整形协会终身会员
  • 中国医疗保健国际交流促进会眼科学分会委员
  • 中国中西医结合分会眼科专业委员会眼肿瘤学组委员
  • 中国女医师协会眼整形泪道专业委员
  • 专长:眼部微整形(专注于中年人的眼部年轻化微创手术)泪器疾病的内镜微创手术视神经疾病的微创手术

声明:本文仅供医疗卫生专业人士了解最新医药资讯参考使用,不代表本平台观点。该等信息不能以任何方式取代专业的医疗指导,也不应被视为诊疗建议,如果该信息被用于资讯以外的目的,本站及作者不承担相关责任。

2 comments

发布留言

条评论

  • Linda Gareth
    2015年3月6日, 下午2:51

    Donec ipsum diam, pretium maecenas mollis dapibus risus. Nullam tindun pulvinar at interdum eget, suscipit eget felis. Pellentesque est faucibus tincidunt risus id interdum primis orci cubilla gravida.


相关阅读