姜文敏教授:表现各异的狼疮性视网膜病变

  • 2023-10-19 16:35:00
  • 2837 Views

编者按:系统性红斑狼疮(SLE)是以多种自身抗体导致不同靶器官损害为特点的慢性复发至缓解性自身免疫病,临床异质性极强,临床表现多样,对诊断尤其是早期诊断存在极大挑战。血清中出现以ANA为代表的多种自身抗体、多系统受累是两大主要临床特征。SLE的病因众多,其中包括了遗传因素、感染因素(如细菌、病毒感染等)、饮食因素以及药物因素(尤其是磺胺类、四环素类、青霉素类等药物)。随着研究深入,SLE分类逐渐细化,各器官系统病变诊断指标越来越明确。中华医学会第二十七次全国眼科学术大会(CCOS2023)上,中南大学湘雅二医院眼科姜文敏教授,以3例表现各异的狼疮性视网膜病变病例为依托,分享了其精准诊断和治疗的宝贵经验。


狼疮性视网膜病变的典型表现为视网膜血管病变、棉绒斑、视网膜血管闭塞、广泛无灌注区的出现,以及新生血管形成。而血清标志物狼疮抗凝物阳性率高,出现在不同年龄不同原因的视网膜血管阻塞的发病机制中。但在临床上,眼科医师接触到的红斑狼疮患者的临床表现变化多端,下面以3个病例进行展示。


病例一

一名29岁的女性,以“左眼视力下降8天”就诊。3年前确诊SLE,并且自述右眼自幼视力差,在对其进行眼部体查时发现,其右眼视力为0.02,左眼为0.4,双眼前节均透明。下面这张图片是其眼底照相的表现,可以看到右眼视网膜血管走行清,左眼黄斑下方积血平面,黄斑未见新生血管,通过荧光血管造影显示颞侧周边视网膜可见新生血管膜伴出血。


图片

双眼眼底照相


图片

左眼OCT扫描图片


图片

FFA显示左眼颞上方网膜新生血管


图片

SLO示左眼颞上周边新生血管膜


该患者存在肾功能异常,根据临床表现和辅助检查,考虑患者为左眼闭塞性视网膜血管炎(静脉阻塞型)。予以左眼玻璃体腔内注射抗VEGF药物联合视网膜光凝。患者行抗VEGF药物玻璃体腔内注射术后5天,积血平面消失,联合光凝治疗后1月,积血消退,新生血管膜面积缩小,患者2月未按时复查,再次出血后行左眼玻璃体切除手术,术中切除新生血管膜并补充光凝,此后病情稳定。

图片

复发出血

图片

玻切术后1周

图片

玻切术后3月


病例二

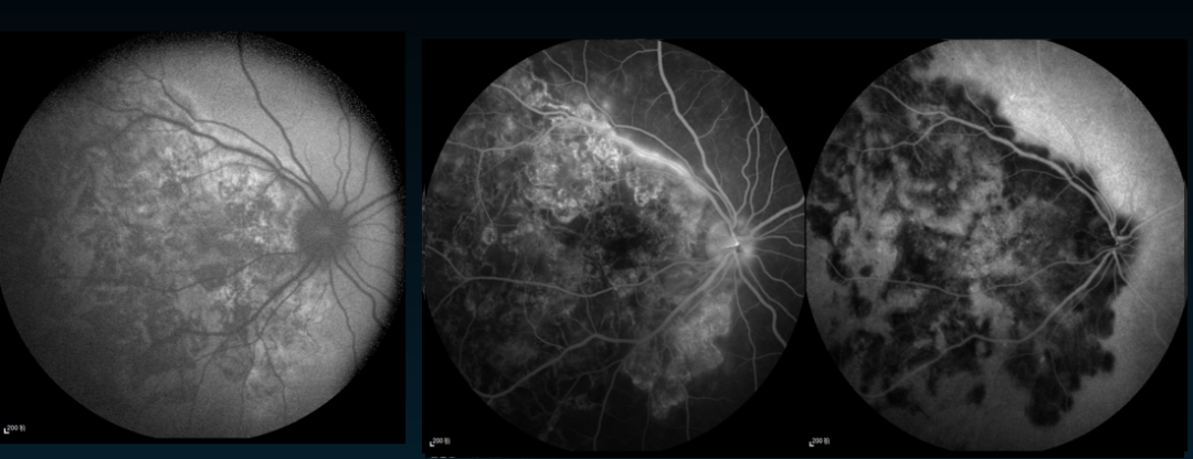
一名21岁的年轻女性,以“双眼视力下降3月余”为主诉就诊,此前已经确诊了SLE ,并且口服激素1年。但其在3月余前无明显诱因出现双眼视力急剧下降,就诊当地医院诊断为“双眼脉络膜炎”,在予药物治疗后无明显好转故就诊于我院。在对其进行眼部体查时可见其右眼裸眼视力为0.25,左眼为0.15,右眼最佳矫正视力为0.8,左眼为0.3。眼底检查双眼视网膜面见大量斑片样脉络膜病灶,自发荧光显示“黑心白边”,病灶围绕视盘,眼底荧光造影显示病灶处有荧光着染,脉络膜造影病灶显示相对应处低荧光。


实验室检查发现,患者除免疫指标存在异常,补体C3、C4水平降低外,T-SPOT检测阳性。结合以上资料,考虑患者为系统性红斑狼疮伴发双眼匍形性结核性脉络膜炎。给予其抗结核治疗以及异烟肼 0.3g Qd、利福平 0.45g Qd等治疗,治疗后患者的眼部情况好转。


图片

超广角眼底图


图片

右眼自发荧光图和右眼FFA+ICGA


图片

左眼自发荧光图和左眼FFA+ICGA


图片

抗痨治疗7个月后双眼自发荧光图


病例三

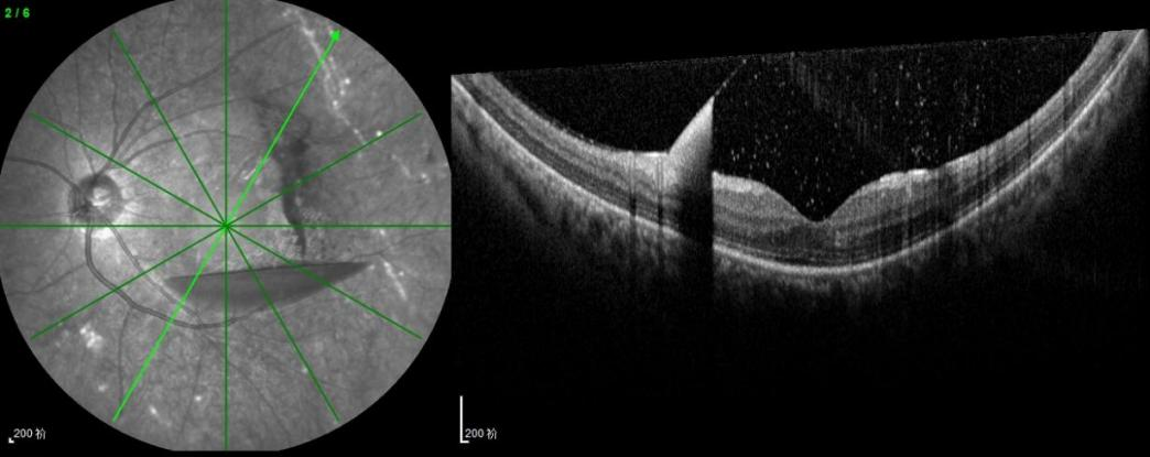
一名48岁的男性,以“双眼视物模糊半年,加重2个月”为主诉就诊,自述近两年出现畏寒、四肢末梢麻木感伴皮肤花斑的情况。眼部体查可见其双眼最佳矫正视力为0.1,双眼前节均透明,无特殊改变。其眼底照相可见黄斑皱褶、水肿。近红外照相可见Elschnig斑。OCT也可以看到明显的黄斑水肿,FFA+ICGA未见血管渗漏,但黄斑区斑驳状窗样缺损,脉络膜黄斑区斑片状低荧光。


图片

就诊时双眼眼底彩照


图片

就诊时双眼近红外眼底超广角照相


图片

就诊时双眼黄斑OCT


图片

就诊时右眼FFA+ICGA


图片

就诊时左眼FFA+ICGA


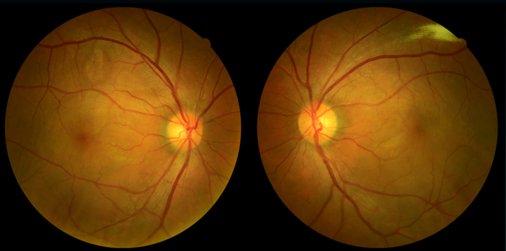
患者2月前首诊眼科时,黄斑水肿及斑片状改变未及此次就诊时严重。当时其实验室检查有多项免疫相关指标阳性:自身抗体ANA 1:80\1:160\1:320阳性、抗ds-DNA抗体阳性、类风湿因子IgM阳性、血清铁蛋白含量916.48 ng/ml (21.8-274.66)、血沉37mm/h, 超敏CRP 3.46mg/l,24小时尿蛋白311.6mg/天、尿沉渣RBC 20000个/ml,并且其心脏彩超提示其有心包积液以及右侧胸腔有中量的积液。综上考虑自身免疫性疾病可能性较大,故将患者由眼科转入风湿免疫科,后确诊红斑狼疮、混合结缔组织病,给予糖皮质激素冲击、CTX、MTX以及眼部球周注射糖皮质激素治疗。随着病情进展,患者后部斑片状病灶越来越显著,范围扩大。综上考虑患者为双眼脉络膜缺血、黄斑水肿以及SLE。

图片

首诊时双眼眼底彩照


图片

首诊时双眼FFA影像


图片

发病3月后双眼眼底彩照


图片

发病3月后双眼FFA+ICGA影像


临床研究中证实有3%-29%的SLE患者伴发视网膜病变,且病变严重程度与病程长短无关,与SLE是否处于活动期相关,与皮疹、皮肤血管炎相关。并且患有该病者有ESR升高、C3下降、以及抗dsDNA抗体阳性发生率高。且红斑狼疮性视网膜病变多累及视网膜血管,引起视网膜血管炎。狼疮性视网膜血管炎主要分为四型,第一型是视网膜静脉阻塞型(案例一即为该种类型),第二型为视网膜动脉阻塞型,第三型视网膜毛细血管阻塞型,第四型为脉络膜血管阻塞型(案例三属于该型)。其中,狼疮性脉络膜病变发病率仅为0.6%。其发病是因免疫复合物沉积于脉络膜引起炎症反应且血栓性微血管病导致脉络膜低灌注、RPE损伤和视网膜下间隙渗漏所致,且其病理也显示了脉络膜有炎症细胞浸润,免疫球蛋白和补体沉积以及RPE的损伤。姜教授总结,通过以上三例红斑狼疮性视网膜病变的简要介绍,希望大家能感受狼疮性视网膜脉络膜病变的表型多样化,并重视狼疮性脉络膜病变。


图片

姜文敏 教授

博士,副教授

中南大学湘雅二医院眼科副主任医师,硕士生导师。中国女医师协会视网膜玻璃体学组微创玻璃体学组委员,湖南省康复医学会眼科分会常委, 湖南省医师协会眼科医师分会委员。

擅长眼底疑难疾病、葡萄膜炎的诊治,复杂性视网膜脱离、糖尿病视网膜病变、黄斑疾病、白内障、眼外伤等手术。美国Wills眼科手术和病例讨论参观学习,多次参加全国性眼科会议进行疑难病例讨论和手术展示;参加国家巡回医疗队,多次开展义诊扶贫。

主持国家自然科学基金、湖南省科技厅面上项目及重点项目等,发表论文十余篇,美国Thomas Jefferson大学访问学者,美国ARVO travel grant获得者。获国家发明专利两项,实用新型专利一项。


声明:本文仅供医疗卫生专业人士了解最新医药资讯参考使用,不代表本平台观点。该等信息不能以任何方式取代专业的医疗指导,也不应被视为诊疗建议,如果该信息被用于资讯以外的目的,本站及作者不承担相关责任。

2 comments

发布留言

条评论

  • Linda Gareth
    2015年3月6日, 下午2:51

    Donec ipsum diam, pretium maecenas mollis dapibus risus. Nullam tindun pulvinar at interdum eget, suscipit eget felis. Pellentesque est faucibus tincidunt risus id interdum primis orci cubilla gravida.