沈丽君教授:儿童Ⅲ期Coats病的治疗病例分享

  • 2024-01-08 17:01:00
  • 3000 Views

编者按:Coats病,又名外层渗出性视网膜病变(external exudative retinopathy),1908年由伦敦皇家眼科医院George Coats首次描述,是一种先天性疾病,是20岁以下单眼渗出性视网膜脱离的常见病因。该病多见于男童,发病隐匿,病程缓慢,可进行性加重,严重患儿可发生渗出性视网膜脱离、新生血管性青光眼等严重并发症,为其治疗带来较大挑战。2023年CCOS会议上,浙江省人民医院眼科中心的沈丽君教授分享了3例Ⅲ期儿童Coats病的不同治疗方法,对儿童Ⅲ期Coats病的治疗思考展开精彩的分享。


Coats病又称为外层渗出性视网膜病变,无遗传因素,不伴有其他全身疾患。本病好发于男性青少年,绝大多数单眼发病,成年人Coats病被大多数学者认为系儿童期无症状成人后才被发现的缘故。视网膜毛细血管扩张引起进行性渗出及视网膜脱离是本病基本病理过程。异常血管通常位于周边部(赤道部与锯齿缘),约有1/3病例累及血管弓与赤道部间,黄斑毛细血管扩张罕见。异常血管可分散分布,但常聚集成簇状,以颞侧与下方最多见。本病自然病程通常持续发展至失明,临床上分为五期。本病年龄越小病变常越重,体现在疾病分期、异常血管区所占钟点数、灯泡样血管、渗出、视网膜下液和视网膜脱离范围等方面病情更重,成年人Coats病视网膜受累较少,病程发展较慢,视力预后较好。影响患眼视力的主要因素包括中心凹下积液或渗出、中心凹下纤维化、出血、黄斑水肿、黄斑前膜和视神经萎缩等。


本病的诊断金标准为间接检眼镜下发现毛细血管扩张,血管呈节段性增粗或粗细不匀,最典型为局部血管瘤样扩张呈灯泡样,此外还有异常血管渗漏所致的广泛黄色渗出。本病必须与白瞳征中的视网膜母细胞瘤鉴别,误诊可有严重后果,另外本病表现多样且与其他的血管性和渗出性视网膜病变极为相似,误诊并不少见。


本病治疗主要是对异常血管活动性渗漏的处理,传统治疗手段是通过光凝或冷凝封闭异常血管,如有广泛视网膜脱离影响光凝或冷凝实施时,可通过巩膜切口放出视网膜下液使视网膜复位并给予光凝或冷凝。仅有异常血管无明显渗出者和终末期无痛盲眼可观察,如终末期盲眼伴有剧烈疼痛,且联合抗青光眼手术治疗仍无法缓解时需摘除眼球。玻璃体腔注射抗VEGF药物和糖皮质激素属于辅助治疗。虽然VEGF在本病发病机制中的作用尚不清楚,但现有的有限临床证据显示抗VEGF治疗与传统治疗结合有较好疗效。传统治疗手段中光凝安全性好,冷凝优点在于可不受少量视网膜下液影响,不能有效光凝时仍可压陷巩膜实施冷凝,且可治疗极周边病变,但冷凝缺点是可一过性加重视网膜下渗出和视网膜脱离,也有证据显示抗VEGF治疗联合冷凝是发生牵拉性视网膜脱离的危险因素。对于存在视网膜脱离无法光凝者,行巩膜外放液术使视网膜贴附后再光凝也是一种常用手段。一般而言,越晚期病例预后越差。有报道即便接受治疗仍有16%患眼发生新生血管性青光眼,需要抗VEGF联合青光眼阀门植入术,甚至最终摘除眼球。沈教授团队的治疗经验认为,积极长期的随访跟踪治疗,并根据不同病情阶段及程度给予联合治疗,对控制病情并保存现有视力可取得良好的疗效。


案例一

男童,2岁3个月,因体检发现左眼瞳孔呈猫眼状1个月就诊。术前B超检查可见视网膜高度脱离,巩膜外放液术中截屏可见脱离的视网膜贴近晶状体,异常血管清晰可见,背景呈黄色系视网膜下广泛的脂质渗出所致,属于Coats病3B期。本例患儿存在广泛视网膜异常血管并高度脂质性脱离,给予了巩膜外放液联合眼内光凝异常血管手术。联合抗VEGF治疗可以降低异常血管通透性并减轻炎症反应,目前临床上尚无共识,一些小样本临床研究报告首次抗VEGF治疗后6-9个月可发生纤维化甚至牵拉性视网膜脱离,但也有调查显示两者无关。本例患者光凝联合抗VEGF治疗随访2年多,渗出吸收、视网膜复位,无观察到纤维化并发症。

图片

术前B超检查:视网膜全脱离

图片

术中截图:眼表照明下即可看到高度隆起的视网膜及其扩张的异常血管、视网膜下脂质渗出

图片

图片

术后随访:视网膜基本复位,异常血管消失,少量脂质沉着


案例二

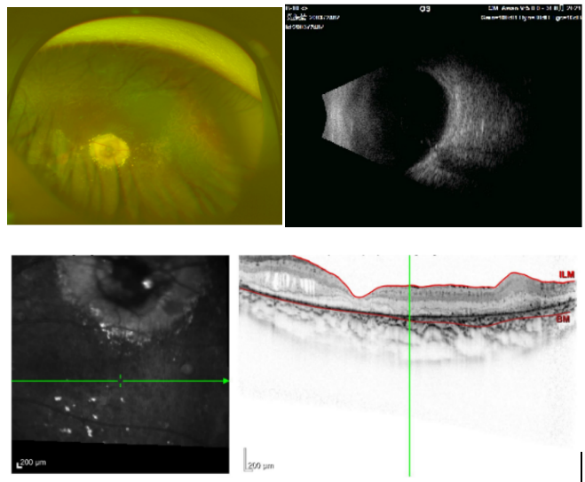
男童,3岁,发现左眼外斜1个月。眼底检查发现颞侧下方视网膜脱离伴后极部视网膜下脂质沉着,B超示视网膜球形隆起,属于Coats病3A期,采用光凝联合抗VEGF治疗方案。本例考虑到异常血管病灶相对局限且靠近周边,其下积液不多,尝试了2次眼外光凝治疗未做巩膜外放液,随访观察中视网膜脱离高度和范围均有减少,但5个月后仍有视网膜下液,病情尚未完全控制,再次行巩膜外放液后眼内光凝联合抗VEGF治疗,7个月后视网膜下液完全吸收,随访至今已超过3年,病情稳定,VOS 0.4,未观察到纤维化。

图片

术前检查

图片

3次激光术后7个月


案例三

男婴,早产胎龄 29周+2天,出生体重1470g,38周+3天时外院做早产儿筛查诊断左眼ROP,眼内抗VEGF注药后4天复查视网膜出血好转 (外院);41周时检查发现左眼视网膜脱离,又观察1周视网膜脱离加重,遂转至浙江省人民医院首诊。眼底彩色照片和眼底血管造影检查发现,患儿的眼底血管发育情况较差,再次抗VEGF治疗后6天检查发现视网膜脱离加重。结合患儿特点为视网膜层间和视网膜下出血、脂质沉积、纤维渗出;周边血管显示动静脉吻合,异常扩张和渗漏,未发育完全,颞侧成团的异常扩张血管,且与对侧眼ROP程度(2区1期,plus-)不相称。考虑ROP 合并Coats,为患儿进行经巩膜抽液+激光+糖皮质激素注射(因渗出反应明显)。术后1个月复查视网膜血管扩张及脱离明显好转。

图片

图片

左眼术前情况(浙江省人民医院首诊时):视网膜层间和下出血、脂质沉着、纤维渗出;动静脉吻合、异常扩张和渗漏;未见PLUS,与对侧眼ROP程度不相称

图片

右眼来院首诊时情况:2区1期,plus-


图片

左眼治疗后术后一月情况:视网膜下液基本吸收,可见缓释药丸


小结

Coats病可能会有不同程度渗出,但皆因血管扩张引起,也已有研究证实Coats病患者眼内VEGF浓度和炎症因子浓度明显升高,故激光、抗VEGF和糖皮质激素为儿童Coats病治疗提供了可及手段,疗效尚可,建议根据病情可选择不同治疗手段或联合治疗。Coats病如没有良好控制会持续进展甚至恶化,3期病变尤其如此。因此尽管视力预后不尽如人意,但积极治疗对挽救眼球及保存现有视功能仍有重要意义。Coats病需要长期随访观察,10年复发率介于3~7%,早期发现、积极治疗对保留眼球和维护现有的视功能具有重大意义。


声明:本文仅供医疗卫生专业人士了解最新医药资讯参考使用,不代表本平台观点。该等信息不能以任何方式取代专业的医疗指导,也不应被视为诊疗建议,如果该信息被用于资讯以外的目的,本站及作者不承担相关责任。

2 comments

发布留言

条评论

  • Linda Gareth
    2015年3月6日, 下午2:51

    Donec ipsum diam, pretium maecenas mollis dapibus risus. Nullam tindun pulvinar at interdum eget, suscipit eget felis. Pellentesque est faucibus tincidunt risus id interdum primis orci cubilla gravida.