精彩疑例丨软骨发育不全儿童罕见眼部并发症——先天性脱位性白内障及高度近视

  • 2024-08-12 17:01:00
  • 996 Views

编者按:软骨发育不全是最普遍的软骨发育异常,属于先天性发育异常,主要由常染色体显性遗传引起。大部分病例是由新发突变引起的,即基因变异。这种变异导致成纤维细胞生长因子受体3活性异常,进而引发内化骨生长严重紊乱。患有软骨发育不全的儿童,通常会出现身材矮小,并伴有神经系统和骨骼并发症。虽然这类患者智力大多正常,但在儿童期,他们可能会出现中耳炎和胫骨弯曲等问题。少数患者可能会出现与脑积水、颅颈交界区受压、限制性和阻塞性肺病或胸腰椎后凸有关的严重健康后果。值得庆幸的是,这些严重的健康问题主要出现在婴儿期,且仅影响5%至10%的软骨发育不全婴儿。此外,软骨发育不全的眼部并发症非常罕见。目前已知的相关眼部并发症包括单纯小眼症、先天性青光眼伴Axenfeld-Rieger异常、眼球突出、外斜视、下斜肌亢进、房角异常、杜安氏综合征、视锥视杆营养不良、眼底白点、脉络膜视网膜粘连、黄斑粘连、圆锥角膜以及发育性白内障等。最近,H. Kishore教授报告了一例罕见的与软骨发育不全儿童相关的先天性脱位性白内障和高度近视的情况。这一发现不仅增加了人们对软骨发育不全及其相关并发症的认识,而且为未来的研究和治疗提供了新的方向。


病例报告:先天性软骨发育不全伴高度近视及双眼白内障改变

一名6岁的男孩因为双眼视力缺陷来到儿童眼科诊所就诊。经过检查,他被确诊为患有先天性软骨发育不全和骨骼发育异常。此外,还存在脑室扩张和出生时腭裂的问题。该患儿身材矮小,手指短而粗,头部大,眼睛突出。

图片

图1.先天性软骨发育不全的患儿,身材矮小,手指短小,头部大,眼睛突出


为了改善呼吸问题,患儿接受了9个月的通气治疗,随后进行了气管切开术。三年后,患儿接受了腭裂手术并切除了气管造口管。尽管如此,患儿仍发育迟缓。目前,孩子正在接受必要的基因检查,以进一步了解其健康状况。


经过详细的眼部检查,医生发现该儿童患有多种眼病:

  • 左侧内斜视,右侧急动性眼球震颤,振幅不稳定。
  • 双眼有内眦赘皮、外眦赘皮和假性眼球突出。
  • 双眼角膜清晰,前房深;右眼晶状体混浊;左眼全白内障,且晶体半脱位。
  • 散瞳后进行眼底检查,右眼视网膜出现格子样变性,黄斑区中心凹反光模糊。
  • 左眼散瞳后瞳孔未能扩张超过5mm,无法看清眼底细节。
  • 双眼平均角膜曲率41.5D,眼轴长度分别为28.60mm和28.96mm。
  • 眼部超声检查显示,轻度玻璃体回声,双眼视网膜与玻璃体粘连。
  • 眼压分别为19mmHg和20mmHg。
  • 中央角膜厚度分别为578μm和580μm。
  • 右眼高度近视,度数9.0D。

图片

图2.双眼有内眦赘皮、外眦赘皮和假性眼球突出,左眼患有全白内障

图片

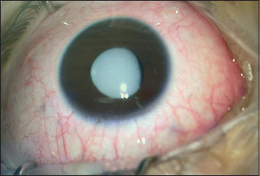
图3.全白内障伴颞侧半脱位,正常虹膜结构,瞳孔扩约肌功能差


在全麻状态下,患儿接受了左眼半脱位白内障晶状体前路取出术。术后随访3个月,患者恢复良好,左眼角膜透明,无晶状体,眼底出现镶嵌状改变,黄斑受累,中央凹反射暗淡,眼压为15mmHg,角膜内皮细胞计数为618μm。右眼状态与术前相同。医生建议患者进行必要的屈光矫正,如配戴眼镜和适当的弱视治疗。


延伸拓展:软骨发育不全相关眼部并发症

Rosenthal等对52例软骨发育不全患者的眼科特征进行深入研究,他们发现,50%的患者存在外眦赘皮;56%的患者存在房角异常,如虹膜膨隆;20%的患者有外斜V征、前房角发育不全和双侧下斜肌亢进;约10%的患者出现视网膜血管扭曲。

Nastasi等报道了一周龄婴儿软骨发育不全、枕部脑膨出、脑室扩张、鼻道狭窄、盆腔肾动脉狭窄和肺动脉狭窄。该患儿有双侧先天性青光眼、角膜后胚胎环和虹膜发育不全,提示Axenfeld-Rieger异常。

Guirgis等报道,软骨发育不全患儿存在杜安氏综合征和视锥视杆营养不良。

Garg等发现,软骨发育不全患儿存在眼底白点这一异常现象。

Maumenee和Mitchell提出了一个假设,即软骨发育不全是由于单一基因的遗传缺陷所引起的。他们认为,这种疾病在早期胚胎阶段就已发生,并可能导致全身和中枢器官畸形的发病率增加。

Yoo等报道了一例软骨发育不全患儿,其双眼出现了直径与视盘相等的脉络膜视网膜大泡。

Ahoor等报道了一例24岁的男性患有软骨发育不全,其双眼出现了界限分明的圆形周边脉络膜大泡。

Al Mahmood等报道了一名患有双侧圆锥角膜伴软骨发育不全的成年男性。该患者接受了进行成功的穿透性角膜移植术治疗角膜扩张。


关于软骨发育不全中晶状体异常的病例报告相对较少,这些病例主要在年轻人中被报道。Patil等报道了一例15岁的软骨发育不全患者,表现为眼轴长度正常的发育性双侧白内障,该患者顺利进行了双眼白内障摘除及PCIOL植入术。Bagewadi等描述了一例25岁的女性软骨发育不全患者,双眼患有发育性白内障,同样接受了双眼白内障摘除及PCIOL植入术。


这些案例提醒人们,对所有软骨发育不全患者进行晶状体和其他眼科筛查至关重要。及时的筛查和干预对于这类患者的视力保护和治疗具有重要意义。建议在临床实践中加强对软骨发育不全患者的眼科检查,以便早期发现和治疗与该疾病相关的眼科异常。


参考文献:Kishore H. Subluxated cataractous lens and high myopia: An uncommon association in an achondroplasia child. Oman J Ophthalmol. 2023 Oct 18;16(3):537-540. doi: 10.4103/ojo.ojo_42_23. PMID: 38059098; PMCID: PMC10697276.


声明:本文仅供医疗卫生专业人士了解最新医药资讯参考使用,不代表本平台观点。该等信息不能以任何方式取代专业的医疗指导,也不应被视为诊疗建议,如果该信息被用于资讯以外的目的,本站及作者不承担相关责任。

2 comments

发布留言

条评论

  • Linda Gareth
    2015年3月6日, 下午2:51

    Donec ipsum diam, pretium maecenas mollis dapibus risus. Nullam tindun pulvinar at interdum eget, suscipit eget felis. Pellentesque est faucibus tincidunt risus id interdum primis orci cubilla gravida.


相关阅读