后囊膜破裂及其后续处理策略丨纤维蛋白胶辅助无缝线人工晶状体植入术

  • 2024-06-30 12:03:00
  • 773 Views

编者按:后囊膜破裂(PCR)是白内障手术中常见的严重并发症之一,可能导致严重的视觉损害。在今年的ASCRS会议上,学者们分享了他们在处理PCR时的经验和后续创新的手术方式,为解决这一问题提供了宝贵的参考和指导。AMAR AGARWAL教授与会带来纤维蛋白胶辅助无缝线人工晶状体(IOL)植入术的应对策略,快随小编一睹为快。


技术介绍

白内障超声乳化手术的初学阶段可能发生PCR。大范围的PCR可能会影响IOL在囊袋内的植入。在有充足前囊支持的情况下,将IOL植入睫状沟成为一种可能。AMAR AGARWAL教授于2007年12月14日首次在一个囊袋缺陷眼中进行了胶粘式IOL植入术。对于前囊膜不足和后囊膜缺损的眼睛,新的IOL植入技术包括纤维蛋白胶辅助的无缝合IOL植入术。

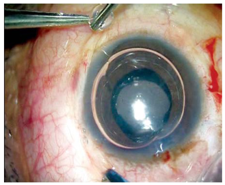
在IOL襻的理想出口处进行巩膜局部切除和电灼。插入灌注套管或前房维持器。如果使用灌注套管,可以使用23G无缝线的穿刺器和导管。灌注套管最好位于鼻下内侧象限,以防干扰巩膜瓣的制作。制作两个大约2.5mm×3 mm的巩膜瓣,对角相距180度(图 1A 和 B)。然后通过玻璃体腔或前路进行23G玻璃体切割术,以解除所有玻璃体牵拉。在巩膜瓣下,大约离角膜缘1.0mm处进行两个直的巩膜切口。然后制作一个透明的角膜/巩膜隧道切口以植入IOL。IOL植入时,术者一手使用McPherson钳,另一手使用23G/25G的夹持钳(Micro Surgical Technology, USA)通过下方巩膜切口。可以使用任何末端开口的镊子,夹住IOL襻的尖端,沿着襻的曲线穿过下方的巩膜切口并将其拉出(图2A和B),使其在下方巩膜瓣下露出。同样,通过巩膜瓣下的上方巩膜切口,也可以将襻的尾端露出。如果制作的是巩膜隧道切口,用10-0单丝尼龙线缝合切口。然后将襻的尖端塞入用26G针制作的巩膜隧道的延伸点中。用纤维蛋白胶闭合巩膜瓣(图3A和图B)。移除前房维持器或灌注套管。结膜也用相同的纤维蛋白胶闭合(图4)。

图片

图1A和B:距离角膜缘1.5mm处制作约2.5*3mm的巩膜瓣。两个瓣成180°对角相对。


图片

图2A和B:图示在巩膜瓣下用22G针头进行巩膜切开。用25G镊子将IOL襻暴露。


图片

图3A和B:重组纤维蛋白胶在襻上巩膜瓣下注射,后封闭巩膜瓣。


图片

图4A至C:A,术前裂隙灯照相显示IOL脱位至前房内;B,术后第一天;C,术后三个月。


纤维蛋白胶

使用的纤维蛋白胶是Reliseal (Reliance Life Sciences,印度)。也可以使用另一种广泛应用的组织胶即Tisseel (Baxter)。根据制造商的说明,首先重组纤维蛋白原和凝血酶。检查商用的病毒灭活的纤维蛋白胶传播感染的机会非常低。但是使用组织衍生物时,始终存在传播病毒感染的理论可能性。


重组Reliseal(纤维蛋白胶):

密封包装,内含人纤维蛋白原(20 mg/0.5 ml),人凝血酶(250 IU/0.5 ml),抑肽酶溶液(1500 kiu /0.5 ml),1安瓿无菌水,4根21G针头,2根20G钝式针头和一个带有两个混合室和一个柱塞导向器的敷贴器。首先,取抑肽酶溶液于2ml无菌注射器中,与纤维蛋白原混合,然后以缓慢的环形运动摇匀。然后将重组小瓶置于37度预热水浴中不超过10分钟。接下来,将约0.5 ml注射用水抽吸并注入凝血酶瓶中,然后轻轻搅拌。当没有未溶解的颗粒时,认为重组完成。重组纤维蛋白原和凝血酶分别装入两个2 ml无菌注射器中,并安装在Reliseal敷贴器上使用。然后,将制备好的重组纤维蛋白胶通过双注射器输送系统的套管分别在上下巩膜瓣下注射。在瓣上施加局部压力约10-20秒,以形成纤维蛋白多肽。


特殊情况:

对于有IOL脱位的患者,制作类似上述的板层巩膜瓣,然后用23/25号钳夹住脱位的IOL襻,将其外移并粘在巩膜瓣下(图5A和B)。

图片

图5A和B:使用25G镊子将脱位的IOL襻暴露。


技术优势

这种纤维蛋白胶辅助的无缝线IOL植入技术在多种临床情况下都有优势,如需进行巩膜固定IOL的适应证,如IOL脱位、IOL移位、晶状体悬韧带病变或二次IOL植入等。此术式的优势主要在于:无需特殊类型IOL;无倾斜;IOL更稳定;更少出现IOL摆动;更少出现UGH综合征;无缝线相关并发症;手术更快速且更容易等。


操作步骤

图片

图6:无晶状体眼;未观察到囊袋。

图7:做角膜/巩膜标记,这一步可辅助后面制作180度的巩膜瓣。


图片

图8:角膜上的标记。在标记一侧切开结膜。

图9:制作180度相对的巩膜瓣。


图片

图10:使用20G距离角膜缘1mm处切开巩膜。图11:23G玻璃体切割切除前段和中段玻璃体。


图片

图12:制作透明角膜切口。图13:慢慢植入可折叠三片式IOL。


图片

图14:一手推注IOL,另一手持镊准备夹住IOL襻。图15:镊子夹住IOL襻的末端。


图片

图16:在植入IOL的同时,镊子拉住襻。图17:襻被拉出。


图片

图18:助手帮助以维持襻在外部。图19:后襻进入前房。另一手持镊通过巩膜切口准备在巩膜瓣下夹住襻。


图片

图20和21:张开镊子夹住襻。


图片

图22和23:轻轻将襻牵至巩膜切口,直至外露。


图片

图24和25:两个襻均已露出,在巩膜瓣下可见。在巩膜切口处完成玻璃体切割。


图片

图26:用26G针在巩膜瓣边缘制作一个巩膜小袋。图27:用镊子将襻塞入小袋中。


图片

图28和29:襻位于小袋中;IOL稳定。


图片

图30和31:撤出灌注,空气进入前房;植入纤维凝胶。


图片

图32和33:封闭巩膜瓣;凝胶封闭结膜和透明角膜切口。


图片

图34:术后即刻。


声明:本文仅供医疗卫生专业人士了解最新医药资讯参考使用,不代表本平台观点。该等信息不能以任何方式取代专业的医疗指导,也不应被视为诊疗建议,如果该信息被用于资讯以外的目的,本站及作者不承担相关责任。

2 comments

发布留言

条评论

  • Linda Gareth
    2015年3月6日, 下午2:51

    Donec ipsum diam, pretium maecenas mollis dapibus risus. Nullam tindun pulvinar at interdum eget, suscipit eget felis. Pellentesque est faucibus tincidunt risus id interdum primis orci cubilla gravida.