首都医科大学附属北京同仁医院陈春丽教授:剖析RAPD阳性误诊案例,助力视网膜疾病精准诊疗

  • 2024-11-10 12:02:00
  • 2104 Views

编者按:在诊断球后视神经炎时,必须排除其他潜在病因,这需要全面考虑患者的病史、预后情况以及结合多模式影像学的检查结果进行综合评估。在临床诊疗过程中,某些视网膜疾病,诸如早期的视网膜中央动脉阻塞(CRAO)、一过性白点综合征(MEWDS)以及急性区域性隐匿性外层视网膜病变(AZOOR),往往易被误诊为球后视神经炎。在此类诊断中,存在一些常见的误区。例如,将相对性传入性瞳孔障碍(RAPD)阳性视为视神经炎的特异性指标,或是将视觉诱发电位(VEP)的异常直接等同于视神经的异常,而忽视了黄斑病变、弱视以及屈光异常等因素同样可能导致P-VEP的异常。此外,F-VEP的异常则可能源于视神经或视网膜的特定异常。在第十三届神经眼科大会上,首都医科大学附属北京同仁医院陈春丽教授通过一系列详尽的病例分析,进一步深入探讨了RAPD阳性误诊的情况,为与会者提供了宝贵的临床见解。


1

病例回顾

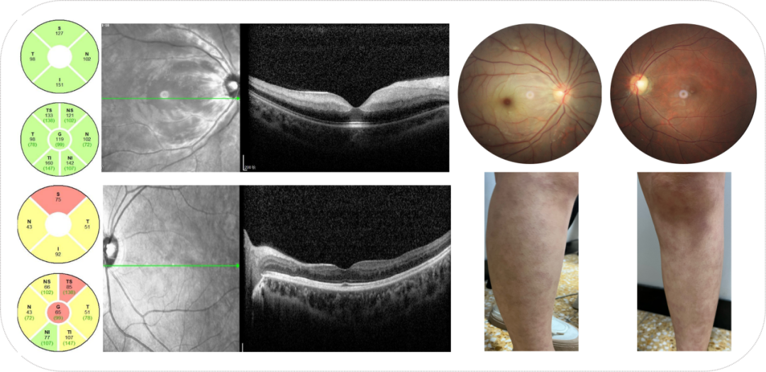
患者为22岁青年女性,主诉右眼视力突然丧失1小时后就诊于外院。眼部检查显示右眼无光感,左眼视力1.0;右眼RAPD阳性,双眼前后节未见明显异常。外院诊断为右眼球后视神经炎,并建议全身冲击激素治疗。患者5年前左眼曾出现一过性视力下降,持续2小时后自行缓解,外院诊断为左眼中心性浆液性脉络膜视网膜病变。1天后,患者就诊于我院,确诊为右眼CRAO。进一步追问病史,患者5年前双下肢出现网格样青斑未诊治。完善风湿病、血液学和自身免疫检查后,最终诊断为混合结缔组织病(MCTD)。

图片

图1.眼底像示右眼后极部视网膜水肿,黄斑区樱桃红斑,左眼后极部神经纤维束缺失。OCT示右眼视网膜内层组织水肿高反射,左眼视网膜部分内层萎缩变薄。双腿网格青斑样皮疹改变。


病例思考

视网膜动脉阻塞在青年人中较为少见,对于年轻的CRAO患者,必须对系统性疾病或栓塞来源进行积极的检查。常见病因包括自身免疫性疾病、高凝状态及先天性解剖变异等。通过查找病因并对症治疗,以减少对侧眼CRAO的发生及避免未来的后遗症。早期的CRAO(97分钟以内)眼底改变可能不明显(后极部未见明显视网膜水肿和黄斑区樱桃红斑),需仔细观察患眼有无视网膜动脉痉挛变细,并结合OCTA上视网膜毛细血管丛的变化及OCT上视网膜内部高反射率的增加进行综合判断。


2

病例回顾

患者为36岁女性,主诉右眼视力下降1天就诊于外院,诊断为右眼球后视神经炎,并建议全身冲击激素治疗。完善全身颅脑及视神经MRI、免疫相关检测、血AQP4/MOG/GFAP/MBP抗体、腰穿等检查均阴性。发病2周时就诊于我院。眼部检查显示右眼视力0.1,左眼视力1.0;右眼RAPD阳性,右眼视盘界清色红,后极部隐约可见灰白色点状病灶。FFA示右眼视盘高荧光渗漏,可见花冠状高荧光;ICGA于10分钟左右时可见点状低荧光;OCT示IS/OS层中断缺失;FAF示后极部散在点状及融合成片的高荧光。结合多模式影像检查,最终确诊为右眼MEWDS。


图片

图2.A示右眼视盘界清色红,后极部见灰白色点状病灶;B-FAF示后极部散在点状及融合成片的高荧光;C-FFA示右眼视盘高荧光渗漏;可见花冠状高荧光;D-OCT示IS/OS层中断缺失;E-ICGA示10min左右时可见点状低荧光。


病例思考

MEWDS于1984年由Jampol首次提出,发病率较低,约为0.22/100,000。MEWDS多发生于青壮年、女性、近视患者,80%以上为单眼发病。主要症状包括视物模糊、闪光感、眼前黑影等,1/3的患者有感冒样前驱症状。En-Face-OCT及OCTA研究表明,MEWDS急性期病变定位于光感受器细胞外节。其发病机制可能与病毒感染有关,在遗传易感人群中,发生了免疫介导的反应侵犯光感受器细胞和视网膜色素上皮(RPE)。MEWDS被概念化为“视网膜的普通感冒”,具有自愈性,持续时间一般为2~10周,可仅观察;很少复发,也可并发脉络膜新生血管(CNV)。2020年的一项回顾性研究显示,111例患者中有26%被误诊为MEWDS,14%的MEWDS患者存在复发,仅1例患者为双眼发病。自发荧光(AF)可能是检测MEWDS最敏感和最实用的方法,对于非典型MEWDS需要结合多模态成像,特别是ICGA进行确诊。


3

病例回顾

患者为34岁女性,主诉右眼视力下降伴颞上方视物遮挡感1年就诊于外院,诊断为球后视神经炎。既往史为双眼屈光不正。眼部检查显示右眼视力0.3,左眼视力1.0;右眼RAPD阳性,前节检查未见明显异常。眼底检查显示右眼视盘周围后极部可见豹纹状眼底改变。FFA示右眼视盘高荧光渗漏,可见花冠状高荧光;ICGA于10分钟左右时可见点状低荧光;OCT示右眼视盘颞侧EZ/IZ带缺失,双眼黄斑区未见异常;FAF示右眼盘周弧形高荧光环;右眼颞侧视野缺损;多焦ERG示右眼鼻侧视网膜振幅密度重度降低。结合多模式影像检查,最终确诊为右眼AZOOR。


图片

图3. A示右眼视盘周围后极部可见豹纹状眼底改变;C-FAF示右眼盘周弧形高荧光环;E-OCT示右眼视盘颞侧EZ/IZ带缺失,双眼黄斑区未见异常;F示右眼颞侧视野缺损;G示多焦ERG示右眼鼻侧视网膜振幅密度重度降低。


病例思考

AZOOR单眼发病多见(61%),常合并近视(66%)。急性期90%的患者眼底正常,晚期可能出现RPE及脉络膜萎缩。主要症状包括急性视力丧失(视力≥20/40者占76%)或盲点伴闪光感、轻度视网膜血管鞘、囊样黄斑水肿、轻中度玻璃体细胞(57%)。约24%的患者RAPD阳性,ERG异常,可伴单个或多个视野缺损。多模式成像系统及三区模式表现有助于AZOOR的诊断。前驱症状或疾病包括病毒感染样症状、头痛或妊娠。


小结:在临床工作中,确诊视神经炎前,应对眼前节角膜、晶状体进行检查,并进行视网膜形态和功能学检查。诊断需结合多模式影像检查及预后转归。RAPD阳性不是“视神经炎”的特异指征,RAPD是一项客观检查,反映的是双眼向颅内传递光信号强度不对称引起的大脑对瞳孔直径调节产生波动。视神经疾病(视神经炎、缺血性视神经病变及外伤性视神经病变)、视网膜血管性疾病(视网膜中央动脉阻塞、视网膜中央静脉阻塞)、白点综合征(MEWDS及AZOOR)、单眼大量玻璃体出血、单眼大范围视网膜脱离及不对称的白内障等均可引起RAPD阳性。AF可能是检测AZOOR/MEWDS最敏感和最实用的方法;对于MEWDS,需要结合多模式影像,特别是ICGA进行确诊;OCT在疾病定位方面简易快捷,应仔细观察盘周(AZOOR/MEWDS)。通过这3例误诊为球后视神经炎的视网膜疾病案例,提醒临床眼科医师应全面分析病情,不可管中窥豹。


声明:本文仅供医疗卫生专业人士了解最新医药资讯参考使用,不代表本平台观点。该等信息不能以任何方式取代专业的医疗指导,也不应被视为诊疗建议,如果该信息被用于资讯以外的目的,本站及作者不承担相关责任。

2 comments

发布留言

条评论

  • Linda Gareth
    2015年3月6日, 下午2:51

    Donec ipsum diam, pretium maecenas mollis dapibus risus. Nullam tindun pulvinar at interdum eget, suscipit eget felis. Pellentesque est faucibus tincidunt risus id interdum primis orci cubilla gravida.