视网膜自体移植治疗复杂性黄斑疾病的应用前景

  • 2023-08-15 17:01:00
  • 1881 Views

编者按

视网膜是眼睛中最关键的组织,是形成视功能的根基。视网膜组织移植是一种实验性的方法,自体视网膜移植(autologous retinal transplantation, ART)可作为治疗巨大慢性无症状黄斑裂孔(MH)的首选手术方案。随着手术技术的日臻娴熟,ART手术适应证也在逐渐拓宽。ART手术的理论优势在于移植的视网膜可与周围组织融合,相较于其他惰性组织框架更有可能改善视力预后。在今年的APAO会议上,来自我国国立台湾大学医院的Chung-May Yang教授,详细介绍了ART技术的使用特点、意义以及其发展前景。


视网膜移植术应用现状

视网膜移植术的适应证包括顽固性MH、病理性高度近视MH性视网膜脱离(MHRD)、黄斑中心凹旁组织缺损、年龄相关性黄斑变性。视网膜内界膜(ILM)、晶状体囊膜、视网膜神经感觉层(NSR)、羊膜、视网膜色素上皮层(和/或)脉络膜 (和/或)NSR是常见的移植材料。自Kelly和Wendel于1991年描述了修复MH的原始手术原理以来,修复MH的方法一直在不断完善。据1997年报道显示,去除ILM可有效预防MH复发。而针对去除ILM的顽固性MH,Chung-May Yang教授认为也可通过移植游离的ILM皮瓣、晶状体囊膜、羊膜和NSR进行治疗。采用自体视网膜神经上皮层移植治疗顽固性MH,相较于其他材料有一定的优势:

首先,截取面积与MH大小基本吻合的视网膜神经上皮层组织填塞到MH中,在裂孔中形成相对封闭环境,通过RPE主动转运功能,将视网膜下液体转运至裂孔外,视网膜恢复贴附,促进裂孔闭合。
其次,所截取的视网膜神经上皮层含丰富的毛细血管网,相对于ILM和晶状体囊膜,可以更好地与周围视网膜组织愈合。
第三,所填充的视网膜神经上皮层与周围视网膜厚度接近,更有利于解剖结构的恢复。而ILM及晶状体囊膜在填充过程中,如果填塞过少,可能从裂孔中脱离;填塞过多,则会形成“山峦”样拱形结构,对手术后裂孔的愈合不如视网膜神经上皮层。

Moysidis等人在2021年发表了关于自体视网膜移植术治疗难治性MH和MHRD的术后结果。研究表明,术前原发性MH有35例(27%)、难治性MH76例(58%)、MHRD19例(15%)。术后MH闭合率达89%,MHRD闭合率95%(其中68.4%完全闭合;26.3%小偏心闭合)。该研究证实了ART应用于复杂性MH的有效性。


图片


ART技术特点

ART操作过程中的要点:

手术使用的是常规25G系统,在前膜或者后膜移除后,注入全氟化碳液体 (PFCL)来重新黏附稳定后部视网膜;
眼内电凝术(Endodiathermy)用来标记视网膜切除区域(容易到达的部位/周围视网膜切除术部位);
用眼内微型剪刀获得NSR,要求其面积要大于MH;
术中穿过PFCL,用钳子将移植物送至MH处;
游离皮瓣被放置在MH上或邻近位置后,再一次注射PFCL;
取出视网膜神经上皮层处予以激光光凝,植入视网膜神经上皮层裂孔处不予激光光凝封闭;
手术后保持俯卧位1周。


研究案例分享

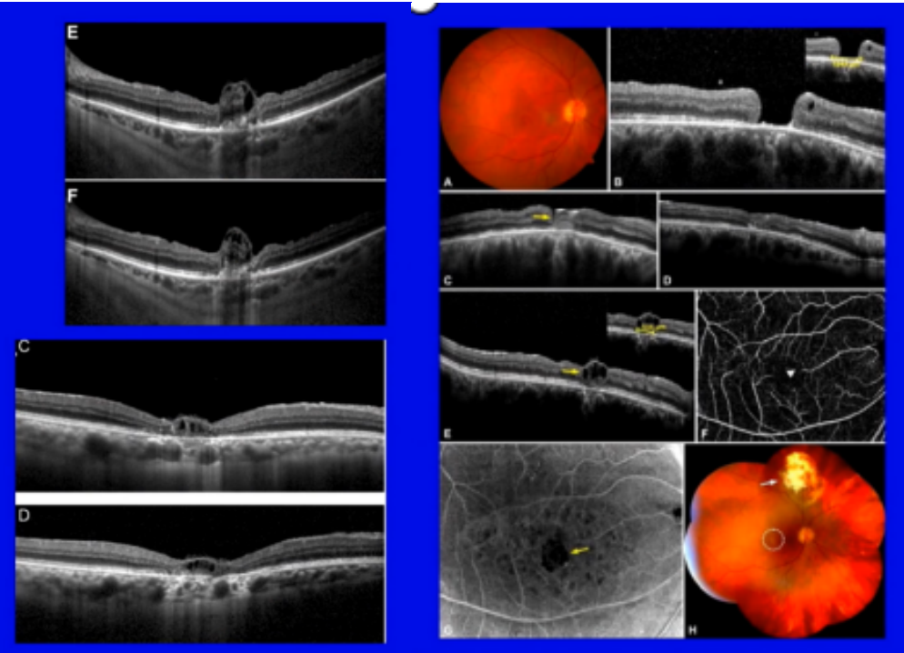
Chung-May Yang教授分享了其团队所做的一项研究。该研究中包含了7例复杂性视网膜脱离,其中有6例是没有足够ILM尚存的复发性网脱,1例巨大MH,1例大范围的黄斑前膜(ERM)/增生性玻璃体视网膜病变(PVR),并且这些病例都不适用ILM移植术。追踪随访结果显示,以上病例使用ART手术后,视力得到了提高。该研究也进一步证明了ART手术的实用性、可行性和有效性,这对于未来眼底病临床指导具有重要意义。


图片


从此研究案例中再次分享了三点术中操作技巧:第一,镊子直接从平衡盐溶液层(BSS)到PFCL层,最后到达视网膜表面;第二,放置后的NSR皮瓣处于浅接触,需要PFCL去覆盖其表面,使得游离的NSR能到达视网膜表面并处于PFCL层之下;第三,MH边缘需修整,可以更好地插入皮瓣。


小结

ART技术联合PFCL适用于难治性黄斑疾病ART。该术式下,获取视网膜移植组织、关闭MH、解除玻璃体牵拉,可在一次手术内完成。其在功能上的优势需进一步深入研究。总体来说,ART是一项能够有效修复非典型、复发性和复合性视网膜脱离相关MH的手术技术。虽然它较为复杂,但大多数情况下能带来良好预后,具有广阔的发展和应用前景。




声明:本文仅供医疗卫生专业人士了解最新医药资讯参考使用,不代表本平台观点。该等信息不能以任何方式取代专业的医疗指导,也不应被视为诊疗建议,如果该信息被用于资讯以外的目的,本站及作者不承担相关责任。 2 comments

发布留言

条评论

  • Linda Gareth
    2015年3月6日, 下午2:51

    Donec ipsum diam, pretium maecenas mollis dapibus risus. Nullam tindun pulvinar at interdum eget, suscipit eget felis. Pellentesque est faucibus tincidunt risus id interdum primis orci cubilla gravida.