浅谈视网膜下基因治疗药物注射术:直面挑战,方寸间尽显术艺精湛

  • 2023-03-23 18:49:00
  • 1548 Views
编者按:遗传性视网膜疾病(inherited retinal diseases, IRDs)是一组以原发性视网膜退行性改变和视功能进行性不可逆损害为主要临床特征的遗传性眼病,既往无公认的有效治疗方法。自2017年Luxturna获批用于RPE65基因突变所致的相关视网膜变性疾病的治疗以来,基因治疗在眼科领域迅速发展,CEP290相关Leber先天性黑蒙(LCA)、X性连锁视网膜色素变性(RPGR基因型)、无脉络膜症(CHM基因型)、CYP4V2相关Bietti结晶营养不良(BCD)等多个IRDs的基因治疗药物正处于各期临床试验阶段,为患者带来希望,发展前景无限。视网膜下注射术是遗传性视网膜疾病(IRDs)等眼底病变相关基因治疗药物有效的递送方法之一。如何做好注射前期的管理、规范术中操作,是保障基因治疗效果能否达到预期的重要因素。2023年APAO会议上来自台湾大学附属医院眼科前沿医学中心的Ta-Ching Chen教授,分享了视网膜下注射术的手术技术及其操作挑战与注意事项。


图片

目前大部分基因治疗采用腺相关病毒(AAV)载体,眼部给药的方式以视网膜下注射为主,基本步骤如下:视网膜下注射前先完成标准经睫状体平坦部三切口玻璃体切割术,再进行视网膜下注射(基因治疗),最后使用软管笛针进行气液交换。在视网膜下注射手术过程中,助手将协助处理载入药物的注射器,并控制药物注射的速度,而主刀医生则将套管稳当地维持在适当的位置。本次讲题中,Ta-Ching Chen教授从注射术前准备、注射过程及长期随访三个方面分享了心得。



视网膜下注射术前准备


控制感染  在开启免疫调节方案和基因治疗药物准备之前,患者必须进行检查评估,确定是否存在任何处于活动期的传染性疾病。如果存在感染,必须先行治疗,推迟到患者康复后再开始视网膜下基因治疗。


免疫调节  眼部基因治疗产生的炎症反应主要发生于眼部,但也可以根据基因治疗药物的病毒载体优化程度及患者体内预存的病毒中和抗体浓度决定是否全身应用激素来预防和减轻全身及眼部炎症反应,激素使用的剂量和持续时间根据全身及眼部炎症的轻重而定。Ta-Ching Chen教授建议,第一眼基因治疗前3日开始,建议按照以下方案启动免疫调节,第二眼应遵循相同的步骤。


图片


诱导完全性玻璃体后脱离

视网膜下注射前需常规进行前部玻璃体切割,诱导玻璃体后脱离,完成核心玻璃体切割。须注意,不完全的后玻璃体脱离可导致残余玻璃体和后玻璃体堵塞套管,因此在操作过程中应仔细观察Weiss环,以辨别玻璃体后脱离是否完成。如果无法确认,可以使用染色剂(如曲安奈德)来确认玻璃体是否完全清除。


图片

降低眼压  视网膜下注射前应将眼内灌注压降低至10~12 mmHg。如果眼压太高,会导致无法顺利预制视网膜下水泡。

图片



视网膜下注射


注射部位选择   通过对术眼眼底和OCT图像检查评估,选择理想的注射部位。视网膜下注射点位切勿太靠近中心凹:推荐后极部沿颞侧上下血管弓附近,并距离中心凹至少2个视盘直径的距离。在视网膜下注射药物之前,检查并剥除影响视网膜下注射的任何视网膜前膜(ERM)。但中心凹周围的ERM可以保护其免受过度拉伸,无需剥除。


图片

部分患者视网膜萎缩处视网膜和RPE的黏附力较强,不易制造视网膜下空间。建议选择其他萎缩程度较轻的视网膜部位,如颞侧上下血管弓或鼻侧血管弓神经纤维层厚度相对正常的部位。


谨慎使用套管和注射针  外科医生应评估套管在玻璃体腔内的配置,如果套管未直通套管针,会弯曲并损坏。也不建议切断套管尖端,这样会损坏套管,并导致无法正确进行视网膜下注射和视网膜下水泡预制。视网膜下注射时推注压力要适中,进针过浅可能导致视网膜劈裂或将药物注入玻璃体腔;进针过深可能导致针尖阻塞,药物注射困难。

减少药液回流  建议在药物注射后等待5秒,然后再将套管撤回,以尽量减少液体漏入玻璃体。保持套管稳定,防止注射孔扩大。气液交换时,避免在视网膜注射部位进行主动抽吸。


图片

黄斑裂孔漏液处理  实际注射操作中,由于中心凹视网膜菲薄,如果药物跨越黄斑部视网膜下且视网膜隆起较高,非常容易造成黄斑裂孔,导致药液泄漏入玻璃体腔,造成无意流失。一旦出现黄斑裂孔,也不要惊慌,可以采取如下策略应对,及时挽救:立即注入直径2-3mm的全氟碳液体(PFCL)形成气泡,以防止药物通过裂孔回流;随着PFCL顶压黄斑裂孔,可以缓慢地继续注射基因治疗药物,并在黄斑裂孔周围形成一个“甜甜圈”形状的环。然后进行气液交换,最后一步去除PFCL。随后将空气交换为长效惰性气体进行填塞(例如C3F8)。术毕患者需要面朝上,严格卧床休息24小时,以促使药物重吸收。24小时后,患者应面朝下保持5天,以帮助黄斑裂孔闭合。



长期效果


Luxturna的获批,是基于一项I期临床研究及其随访研究和一项III期临床研究的数据。I期研究的参与者——101名患者和102名患者分别随访了7.5年和4年,用于事后分析,以了解Luxturna的长期持久性,该研究仍在进行中。此外,一些真实世界研究也证实了这种治疗方法的有效性,也有一些报道注意到基因治疗后发生中心凹旁视网膜脉络膜萎缩发生,推测可能与病毒载体的毒性、局部免疫反应、RPE脉络膜毛细血管复合体变薄以及视网膜下注射流速较高等多种因素有关。


图片



案例分享


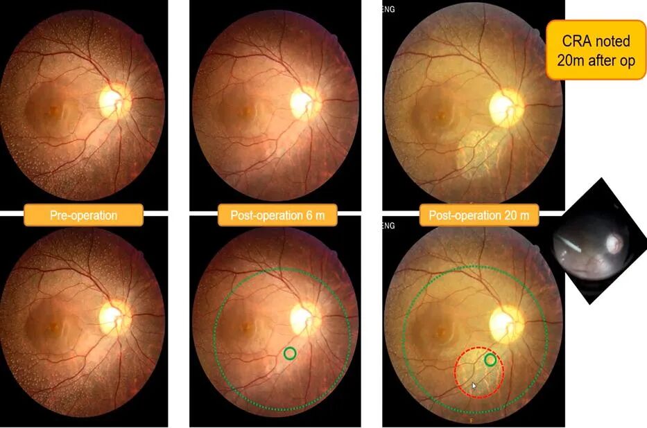
患者为17岁男孩,双等位RPE65突变,OCT和视野组合分析及EZ进行性缩小。由于中心凹黄斑相对健康,决定从下血管弓注射,以避免中心凹视网膜脱离。术后1周解剖恢复良好。术后2个月功能改善。

图片

令人惊讶的是,术后6个月,斑点逐渐消失。他的左眼也有类似的情况,影响也波及了中央凹。术后20个月,注射部位附近及下方发现CRA斑块,左眼也有类似情况发生。好在这并未累及其黄斑区域,患者中心视力轻度改善,夜视力明显改善。


图片

图片



小结


随着基因治疗药物的深入应用,越来越多的真实世界研究予以其有效性强烈的证据支持。视网膜下注射是IRDs基因治疗的优先选择,术前充分准备,细致的术前检查,注射部位的合理选择,规范严谨的玻切手术操作、玻璃体后脱离及注射操作,随访管理对于治疗的成功意义重大。随着技术进步,未来术中OCT的辅助可使注射更精准,机器人注射技术的发展也将使视网膜下基因治疗迈入新的台阶。步步努力,使IRDs患者看见光不再是梦,看得清必将成真。



END


声明:本文仅供医疗卫生专业人士了解最新医药资讯参考使用,不代表本平台观点。该等信息不能以任何方式取代专业的医疗指导,也不应被视为诊疗建议,如果该信息被用于资讯以外的目的,本站及作者不承担相关责任。

2 comments

发布留言

条评论

  • Linda Gareth
    2015年3月6日, 下午2:51

    Donec ipsum diam, pretium maecenas mollis dapibus risus. Nullam tindun pulvinar at interdum eget, suscipit eget felis. Pellentesque est faucibus tincidunt risus id interdum primis orci cubilla gravida.