AAO葡萄膜丨玻璃体切除术治疗慢性非感染性葡萄膜炎的远期疗效

  • 2023-11-09 19:55:00
  • 2149 Views

编者按:葡萄膜炎又称色素膜炎,是虹膜、睫状体及脉络膜组织炎症的总称,可引起一些严重并发症和后遗症,是主要的致盲原因之一。按发病部位可分为前葡萄膜炎、后葡萄膜炎及中间葡萄膜炎。关于其治疗,历来是国际眼科领域探索的热点。AAO2023年会上,Min Kim 教授在Scientific Poster环节,分享了一项关于玻璃体切除术治疗慢性非感染性葡萄膜炎远期疗效的临床研究,一起来看看。


图片

葡萄膜炎是导致视力受损的主要原因之一,5~35%的葡萄膜炎患者有明显视力下降。作为一种常见的致盲性眼病,其病因复杂,易于复发,发病机制尚未完全阐明,易并发/伴有白内障、粘连、玻璃体出血、黄斑囊样水肿、视网膜前膜、继发性青光眼、血管增生性改变、视网膜脱离、脉络膜/视神经萎缩、低视力和肺结核,给临床治疗带来极大挑战。虽然目前多数葡萄膜炎仍采取以糖皮质激素和免疫抑制剂为主的药物治疗,但对于药物治疗无效或有严重并发症的病例,手术治疗的应用也越来越广泛。自1978 年由 Diamond等首次报道玻璃体切除术(PPV)治疗葡萄膜炎的案例,相关研究随后逐渐开展起来。人们发现PPV作为葡萄膜炎的手术治疗策略之一,可清除玻璃体炎症,修复结构改变并发症,减少炎症和黄斑囊样水肿,甚或摘除复杂的葡萄膜炎并发白内障。Min Kim教授团队回顾性分析了2005年至2022年期间138例需要PPV手术的慢性非感染性葡萄膜炎患者154只眼睛的医疗记录,探讨了PPV治疗慢性非感染性葡萄膜炎的有效性及其长期预后,评估指标包括:人口统计数据;基于病因和解剖的葡萄膜炎类型分类;进行PPV的原因;长期治疗结果如并发症的发生、术前术后视力的改变、术前术后黄斑中心视网膜厚度(CMT)的改变。



①平均确诊年龄46.5岁,平均接受PPV手术的年龄为50.5岁,男性占52.2%。根据病因和解剖分类,PPV术后患者的初始视力均有改善。

图片


②非感染性葡萄膜炎最常见的病因是特发性葡萄膜炎(62.3%),其次是系统性疾病相关性葡萄膜炎(31.2%)。

图片


③玻璃体混浊影响视力是玻璃体切除术的主要原因(42.2%),其次是视网膜脱离(25.2%)、视网膜前膜(13.6%)和人工晶状体脱位(5.2%)。

图片


④49只眼(38.3%)需要额外的手术来治疗青光眼、黄斑水肿、视网膜前膜和视网膜脱离。

图片


⑤虽然玻璃体切除术后黄斑中央厚度减少(447μm至267.5μm, P=0.028),但最终视力与初始视力相比没有明显变化。

图片


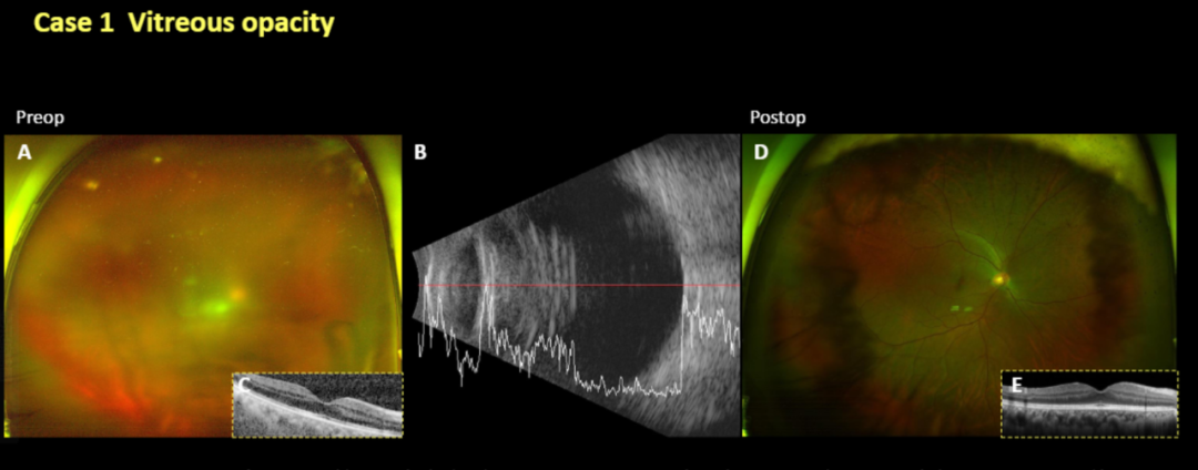
病例1

一例50岁男性患者,4个月前接受右眼白内障手术,术前表现为玻璃体混浊,视力为logMAR 1.0(A)。超声图像显示玻璃体混浊伴视网膜平伏(B)。SD-OCT扫描显示黄斑完整。进行玻璃体切除以去除混浊玻璃体,并获得玻璃体样本进行细菌和真菌培养。玻璃体检查未发现任何感染的迹象,葡萄膜炎似乎是特发性的。术后1年6个月眼底图像显示眼底和黄斑清晰完整(D,E),最终视力为logMAR 0.0。

图片


病例2

一名31岁女性,双眼有白塞氏葡萄膜炎(中间葡萄膜炎)病史,在葡萄膜炎发病约9年后发生孔源性视网膜脱离。眼底检查发现10点钟外围有马蹄形撕裂(黄色箭头),视网膜脱离从12点钟延伸到5点钟(A)。黄斑完整(B)。患者接受了保留晶状体的玻璃体切除术和硅油填充。第一次玻璃体切除术后3年,患者出现白内障,左眼视网膜前膜(C,D),不得不接受超声乳化术、后囊膜人工晶状体植入术、平坦部玻璃体切除术和膜切除术。第二次玻璃体切除术两年后,眼底保持稳定,SD-OCT扫描观察到细微的视网膜内积液(E,F)。

图片


病例3

66岁女性,双眼有特发性全葡萄膜炎病史,在发生葡萄膜炎约17年后发生白内障。患者接受了超声乳化术和后囊膜人工晶状体植入术。白内障手术后11年,双眼IOL下方脱位(A,B),导致超宽视野眼底照片(黄色箭头)略微模糊(C,D)。术前SD-OCT扫描显示双眼视网膜内积液(E,F)。随后,患者接受了玻璃体切除手术以移除脱位的IOL,并用瞳孔后虹膜-爪状IOL代替。瞳孔后虹膜-爪状IOL固定良好(G,H),术后1年6个月黄斑水肿减轻(K,L)。

图片


病例4

一名42岁女性,左眼有HLA-B27相关中间葡萄膜炎病史,在葡萄膜炎发病后约5年出现白内障和黄斑裂孔(A,B)。她接受了超声乳化白内障吸除、后囊膜人工晶状体植入术、玻璃体切除术、内膜剥除和14% C3F8气体注射。玻璃体切除术一年后,眼底平伏(C),黄斑裂孔闭合良好(D)。

图片



PPV可用于改善慢性非感染性葡萄膜炎患者的视力,是一种很有前途的治疗干预措施。


第一作者:Min Kim MD

共同作者:Seung Min Lee, MD;Young Je Choi, MD


内容来源:AAO2023 Scientific Poster


声明:本文仅供医疗卫生专业人士了解最新医药资讯参考使用,不代表本平台观点。该等信息不能以任何方式取代专业的医疗指导,也不应被视为诊疗建议,如果该信息被用于资讯以外的目的,本站及作者不承担相关责任。


2 comments

发布留言

条评论

  • Linda Gareth
    2015年3月6日, 下午2:51

    Donec ipsum diam, pretium maecenas mollis dapibus risus. Nullam tindun pulvinar at interdum eget, suscipit eget felis. Pellentesque est faucibus tincidunt risus id interdum primis orci cubilla gravida.