廖洪斐教授:探索精准医疗时代下的眼眶骨折手术——导航引导内镜联合3D打印与可吸收植入物

  • 2024-04-28 19:21:45
  • 2583 Views

编者按:随着科技和经济的快速发展,由交通和工业生产事故导致的眼眶骨折事件正逐年上升。人体眶骨是由七块骨骼构成的一个骨性空腔,其大致呈现出四棱锥体形。眼眶骨壁分为内壁、下壁、外壁及顶壁,其中内壁和下壁骨质菲薄,容易发生骨折。单纯性眼眶骨折是指骨折范围仅限于一个或多个眶壁,也称爆裂性骨折。眶骨中存在多个骨孔和骨裂隙,多条重要的神经及血管穿行其中支配眼球的正常生理功能。因此眼眶发生骨折后可导致复视、眼球运动障碍、眼球内陷以及感觉障碍等症状,短期内将严重影响患者的生活质量。在第39届亚太眼科学会(APAO 2024)年会上,南昌大学附属眼科医院廖洪婓教授当选为亚太眼肿瘤与眼病理学会(APSOOP)理事并受邀分享了题为“Accurate Surgical Treatment of Orbital Blow-Out Fracture: 3D Printing, Navigation-Guided Endoscopy and Absorbable Implants”的精彩报告,这是廖洪斐教授团队在此前“3D打印联合可吸收材料在爆裂性眶壁骨折中的应用”研究基础上对精准医疗理念的再次极致追求。

图片图1.眼眶解剖结构

图片

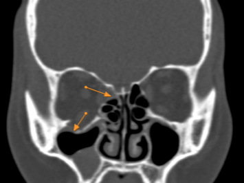
图2.图中箭头所示为眶壁发生骨折


眼眶爆裂性骨折整复术:传统方法 VS. 导航引导内镜联合3D打印与可吸收植入物

眼眶爆裂性骨折在CT影像学上通常表现为眼眶骨骼的骨折线、骨片错位,以及可能伴随眼眶内容物压迫或移位。当复视持续存在、被动牵拉试验阳性且CT显示软组织或眼外肌明显嵌顿,以及大于2mm的眼球内陷或眼球移位的情况时,需要手术治疗。治疗目标是复位嵌顿在骨折处和疝出至上颌窦和(或)筛窦的眶内容物,应用修复材料修复眶壁缺损,消除或改善眼球运动障碍和复视,矫正眼球内陷和移位。眼眶骨折的手术效果主要取决于术者的临床经验和手术技巧。通常眼眶骨折术后可发生眼睑退缩、持续性复视、眶内血肿和眼眶囊肿等并发症。并发症的发生将对患者的生活质量构成第二次打击。

传统的手术方法通常涉及以下步骤:术者观察分析患者的CT影像资料,根据自己的经验推测骨折范围和缺损区域;手术过程中反复修剪和塑形修复材料,最终将其植入骨折缺损区域。然而,这种方法往往难以达到理想的重建效果,并存在手术时间长、风险高、术后并发症多等问题。这些问题主要源于修复材料大小不合适、形状不合适,或者两者都不合适,同时还存在植入物排斥的可能。

图片

图3.图中箭头提示传统手术修复材料大小和形状均不合适


在这种背景下,廖洪斐教授团队开始探索新的治疗方法。

三维打印技术(3D)。3D是一种以三维模型数据为基础,通过逐层添加制造方式,使材料累积起来的增材制造技术。该技术能够将计算机中设计出的模型通过3D打印机,打印出等比例大小的实体模型。目前,这种新兴技术已经在医学领域得到广泛应用。通过3D精确地复制患者的眼眶结构,能够在术前进行详细规划,设计出完美贴合患者眼眶的植入物。这不仅提高了手术的精确性,也大大缩短了手术时间。

导航引导的内窥镜技术。手术导航是借助影像图片资料、计算机图片分析处理能力和空间定位能力发展起来的技术,主要由工作站、定位探测系统、参考架以及示踪器四个部分组成。工作站负责处理影像资料的图片信息,定位系统则是连接工作站、参考架和示踪器的桥梁。参考架和示踪器的主要功能是完成实际坐标系与影像图片坐标系的精确匹配。鼻内镜系统由光源、摄像机、显示器、图像工作站、动力系统组成。鼻内窥镜系统能够在微创条件下清晰地显示出手术视野情况并进行可视化操作。导航引导的内窥镜技术的应用使术者能够在手术过程中实时观察手术区域,确保手术的精确进行。与此同时,这种方法还减少了对周围组织的损伤,降低了手术风险。

可吸收的植入物。与传统的金属植入物或不可吸收聚合物相比,可吸收材料能够随着时间逐渐被人体吸收,避免了长期留置异物可能带来的并发症。

图片

图4.新技术的原理概要
图片图5.应用外科导航系统和内镜辅助分离眶壁缺损区域嵌顿的软组织
图片图6.手术导板和塑形后的可吸收材料
图片图7.术中取出碎骨片与手术导板形态大致相同,参照术前设计的导板裁剪骨折修复材料并用模型进行调试,术前和术后影像学检查中的箭头显示解剖复位已完成。


案例回顾:眼眶爆裂性骨折的精准外科治疗——3D打印导航引导内镜联合可吸收植入物

患者女,42岁,左眼被殴打后视物重影伴眼球内陷8天,左眼外转受限(-1)下转受限(-2),眼突度 :13mm>-96mm-<10mm,影像学提示左眼内壁爆裂性眼眶骨折。给予3D打印导航引导内镜联合可吸收植入物手术整复治疗,术后1周,双眼复视消失,左眼外转受限、下转受限恢复,眼突度 :13mm>-96mm-<12mm。

图片

图8.患者术前、术后CT影像学图片


总结

通过将3D打印、导航引导的内窥镜技术、可吸收植入物相结合应用,不仅实现了眼眶爆裂性骨折的精准治疗,还显著提高了手术的安全性和患者的满意度。这种综合治疗方法在眼眶爆裂性骨折的治疗中具有广阔的应用前景。

图片

廖洪斐 教授

南昌大学附属眼科医院副院长、南昌大学眼视光学院副院长,主任医师,博士生导师。中华医学会眼科学分会眼整形眼眶病学组委员,中国医师协会眼科医师分会眼整形眼眶病学组委员,中国医师协会眼科医师分会常委,江西省医师协会眼科医师分会会长,中国中西医结合学会眼科专业委员会常委,江西省中西医结合学会副会长,江西省中西医结合学会眼科专业委员会主委,海峡两岸医药卫生交流协会眼科学专业委员会眼科内窥镜微创手术学组副组长,中华预防医学会眼科学分会委员,中华眼科杂志通讯编委,江西省视光学学会视光学技术专业委员会主任委员,教育部高等学校眼视光医学专业教学指导分委会委员,教育部儿童青少年近视防控专家宣讲团成员,江西省教育厅儿童青少年近视防控专家宣讲团副团长,亚太眼肿瘤与眼病理学会(APSOOP)理事。

主持国家自然科学基金、省部级课题10余项,发表学术论文160余篇,包括SCI 收录 30 篇,论文他引次数达 500余次,获江西省科技进步二等奖、三等奖各1项、省卫生厅技术创新二等奖1项,荣获2017年度全国眼整形眼眶病十大进展之一,主编、副主编、参编专著5部,2016年作为副主编编写国家卫计委“十三五”本科规划教材《低视力学》,参与国内专家共识或指南撰写 11 篇。共指导博士研究生 8 人,硕士研究生 53 人。先后获江西省五四青年奖章,江西省“光明工程”光明使者,江西省卫生系统学术技术带头人,第四届和第七届“江西省卫生健康委有突出贡献中青年专家”称号,第十三届中国医师协会眼科医师分会年会全国最佳委员及卓越全国委员等荣誉称号。


声明:本文仅供医疗卫生专业人士了解最新医药资讯参考使用,不代表本平台观点。该等信息不能以任何方式取代专业的医疗指导,也不应被视为诊疗建议,如果该信息被用于资讯以外的目的,本站及作者不承担相关责任。

2 comments

发布留言

条评论

  • Linda Gareth
    2015年3月6日, 下午2:51

    Donec ipsum diam, pretium maecenas mollis dapibus risus. Nullam tindun pulvinar at interdum eget, suscipit eget felis. Pellentesque est faucibus tincidunt risus id interdum primis orci cubilla gravida.


相关阅读