编者按:近年来,临床医生和研究人员越来越重视白内障手术与视网膜前膜(epiretinal membrance ,ERM)之间的因果关系。随着影像学检查的发展,白内障术前眼底检查的准确性不断提高,光谱相关断层扫描技术(SD-OCT)的研发和应用,为ERM的精准诊断奠定了技术基础。最新研究利用SD-OCT进一步评估了白内障手术与ERM的相关性,分析了ERM发生和进展的危险因素,相关报道近期以“Risk factors for onset or progression of epiretinal membrane after cataract surgery”为题发表于Scientific Reports杂志。
聚焦临床,关注白内障手术与ERM的相关性
随着多焦点人工晶状体(MIOL)植入手术的广泛开展,白内障手术前对早期ERM的准确诊断以及白内障手术后ERM发生发展的危险因素评估越来越重要。既往研究发现,诊断为轻度ERM的眼睛在MIOL植入术后,视功能恢复和视觉质量欠佳,即使ERM未波及眼底中央凹,患者的术后视力仍不理想。此外,白内障手术中MIOL植入患者的年龄较小,整体人群相对年轻,这使他们在术后发生ERM或进展的终生风险更大,严重影响患者的疾病预后。
目前,衰老、玻璃体后脱离(PVD)和白内障手术作为无潜在视网膜疾病的眼睛中ERM发生发展的危险因素,已经达成了共识。理论上,PVD期间的玻璃体黄斑牵拉(VMT)会导致ERM,特别是当PVD过程没有与玻璃体的适当液化同时发生时。白内障手术在ERM形成中的作用也与导致玻璃体前后运动相关的医源性PVD有关。然而,关于这些术前和术中危险因素与ERM之间的关系相关研究有限。因此,研究人员进一步评估了白内障手术中与ERM发生或进展相关的危险因素。
着力科研,分析ERM的白内障手术相关危险因素
一、ERM危险因素分析
研究人员通过对813只眼睛进行白内障术后超过两年的随访,单因素分析发现黄斑处PVD(p<0.001),视网膜内表面高反射灶(p<0.001),玻璃体劈裂(p=0.014),广域眼底图像的不同视网膜反射率的离散边缘(p=0.007)和白内障手术后ERM发生或进展风险显著相关。多因素分析发现黄斑处PVD(p<0.001),视网膜内表面高反射灶(p=0.006),广域眼底图像的不同视网膜反射率的离散边缘(p=0.003)是调整其他混杂因素后白内障手术后ERM发生或进展的独立危险因素。研究表明,白内障手术后ERM的发生或进展依赖于异常的玻璃体视网膜界面(VRI),包括部分视网膜PVD、高反射灶等,而不是年龄、眼轴长度或手术时存在ERM。对VRI的细致眼底评估将有助于预测白内障手术前的ERM风险。

图1. Cox比例风险比分析。根据(A)存在部分后玻璃体脱离(PVD);(B)视网膜内表面的高反射病灶;(C)广域眼底图像的不同视网膜反射率的离散边缘(DMDRR)的累积危险。
二、不同基线状态的ERM预测模型
在此基础上,研究人员进一步搭建了基于663只患眼数据的无ERM患者白内障手术后ERM发病概率的Cox比例风险预测模型,基于150只患眼数据的轻度ERM患者白内障手术后ERM发病概率的Cox比例风险模型。模型分析发现PVD因素在两种情况中都起到了重要作用,对于ERM的发生发展均至关重要。

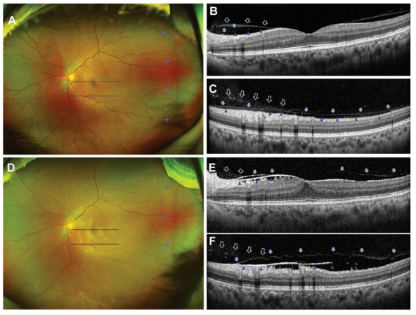
图2. 一名61岁女性在术前(A-C)和1年随访(D-F)时的代表性眼底图像。
(A)超广域眼底照片(UWF-FP)显示不同视网膜反射的离散边缘(DMDRR;箭头)。两条黑线表示图(B)和(C)的位置。(B)中央凹上的光谱域光学相干断层扫描(SD-OCT)图像显示部分后玻璃体脱离(PVD)伴玻璃体劈裂。每种类型的箭头和箭头表示分离的玻璃体皮质和后膜(PHM)。(C)黄斑周围下部的SD-OCT图像显示视网膜内侧有玻璃体劈裂和高反射病灶(HF)。(D)一年后,在视网膜中央凹上检测到ERM。与1年前相比,在后视网膜检测到DMDRR(箭头)。两条黑线表示图(E)和(F)的位置。(E)中央凹上的SD-OCT图像显示了第3阶段的ERM。(F)下黄斑周围区域的SD-OCT图像显示,ERM位于图C中PHM的相同位置(箭头)。

图3. 视网膜反射离散边缘的代表性图像(DMDRR)。(A和B)超广域眼底图像显示中远外周视网膜出现不同视网膜反射的离散边缘(箭头)。
三、白内障术后ERM发生的危险因素
在本研究中,年龄、性别和眼轴均与白内障手术后ERM发生或进展的风险增加无关。某些已知的ERM危险因素,如眼轴,可能与PVD状态有直接关系,而非直接与ERM相关。为了进一步明确相关问题,必须增加样本量开展进一步的研究。研究人员发现,白内障手术后ERM的发生或进展取决于VRI的特征,包括PVD状态、SD-OCT上出现的HF和UWF-FP上出现的DMDRR,但不取决于年龄、眼轴或手术时ERM的存在。SD-OCT和UWF-FP并不是全球统一的白内障手术前检查常规标准。然而,研究结果提示,在白内障手术前进行细致的眼底评估有助于预测ERM的风险,特别是在计划进行MIOL植入时,应更加重视。
关注患者,为更好的临床预后不断奋斗
希望在未来,随着检查技术的不断进展,白内障手术相关并发症及不良预后结果可不断明确,并逐渐得到医护人员和患者的重视。在治疗原发病的同时,明确危险因素,减少不良预后,进一步提高患者术后视觉质量。
京公网安备 11010502033360号
条评论
Linda Gareth
2015年3月6日, 下午2:51Donec ipsum diam, pretium maecenas mollis dapibus risus. Nullam tindun pulvinar at interdum eget, suscipit eget felis. Pellentesque est faucibus tincidunt risus id interdum primis orci cubilla gravida.