编者按:系统免疫疾病是机体产生针对自身抗原的病理性免疫应答反应,目前包括80多种疾病,影响全世界约7.6%~9.4%的人口。女性多见,目前是内科收治的第二大疾病,位居死亡和发病率第3位。系统免疫疾病是干眼的重要病因之一,系统免疫疾病相关性干眼的发病机制复杂,症状及体征较重,易对视功能造成较大影响,临床误诊率高且治疗较为棘手。为提高眼科医师对免疫性疾病所导致干眼的认识,山东大学齐鲁医院吴欣怡教授于眼免疫学组第十二届学术会议上,分享了常见的引起干眼系统免疫疾病,以飨临床。

免疫系统疾病临床表现复杂多变、病变累及广泛,且发病机制复杂,尚未完全阐明,每种自身免疫性疾病几乎都伴有特征性的自身抗体谱。临床上发现免疫系统疾病患者常常伴有眼部症状表现,其中干眼成为免疫系统疾病常伴随的并发症之一,这表明干眼与免疫系统疾病有着密切联系。常见的可引起干眼的自身免疫性疾病有干燥综合征(Sj?gren’s syndrome,SS)、类风湿关节炎(RA)、系统性红斑狼疮(SLE)、黏膜类天疱疮(mucous membrane pemphigoid MMP)、Graves病、慢性移植物抗宿主病(chronic graft-versus-host disease,cGVHD)、Stevens-Johnson综合征和银屑病,根据中国干眼专家共识(2020年)检查和诊断即可确诊。

这几类系统免疫疾病引起干眼的免疫机理如图:

·SS·
SS是一种累及唾液腺和泪腺的慢性自身免疫性疾病,我国患病率为0.33%~0.77%,其中女性发病较多,约占90%,发病年龄多在50岁以上,主要累及唾液腺、泪腺、皮肤黏膜等外分泌腺体,表现为口干(68.8%)和干燥性角膜结膜炎(84.9%)。SS可分为原发性干燥综合征(pSS)和继发性干燥综合征( secondary sSS )2类,pSS 可出现广泛腺体外表现,如血管炎、肾炎、肺炎、神经病变、淋巴增生等;sSS 除干燥症状还伴随其他系统免疫性疾病,如类风湿性关节炎、系统性红斑狼疮、 进行性系统硬化、皮肌炎等。
诊断要点:
眼干或口干症状;
抗核抗体(ANA)阳性率达80%,其中抗SSA抗体阳性率最高,抗SSB抗体是诊断SS的标记性抗体;
典型病理表现:灶性淋巴细胞性唾液腺炎、泪腺炎。
预后:
30%—50%患者可出现全身多器官、多系统病变;
5%—10%患者5-15年可发展为最严重的并发症——非霍奇金淋巴瘤。
SS眼部特点:
常累及泪腺导致泪液分泌减少而产生严重的干眼症状而首诊于眼科;
泪腺分泌功能低下:泪河低、基础泪液分泌减少,Schirmer试验阳性,泪膜破裂时间缩短;
眼部:眼痒、干涩、磨砂烧灼感、眼粘、眼痛、充血、视物模糊;
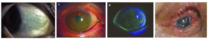
严重者可出现干燥性角结膜炎、角膜上皮糜烂、角膜新生血管化和溃疡形成、睑球粘连、角膜溃疡、穿孔甚至失明;
早期可有过度流泪,晨起后睁眼困难,黏稠分泌物增多等症状;
SS患者常比非SS的水液缺乏性干眼患者表现出更严重的睑板腺缺失。

·RA·
RA是一种累及全身多系统的慢性进行性自身免疫性疾病,临床特征表现为滑膜关节的慢性炎症性病变,并合并关节外多器官病症。该病全球发病率为0.5%~1%,中国大陆地区发病率为0.42%,可发生于任何年龄,男女患病比率约为1∶4。
表现:
基本病理表现:滑膜炎、血管翳形成。
临床表现:对称性侵蚀性多关节炎,关节软骨和骨破坏,导致关节畸形和功能丧失,可并发肺部疾病、心血管疾病、恶性肿瘤及抑郁症等。
干眼是最常见眼部病症,在 RA 患者中发病率可达 19% ~ 31%。
诊断要点:晨僵、关节炎、类风湿结节、RF阳性、影像学改变。

干燥性角结膜炎眼部受累时,常表现为干燥性角结膜炎,以眼干、眼红、异物感、丝状角膜炎、角膜溃疡为特点,由于泪膜蒸发,症状在午后更为严重,可导致角膜上皮细胞失活和点状上皮糜烂。裂隙灯检查可见泪膜分布异常,角膜上皮点状浸润、缺损;晚期出现溃疡性角膜炎、角膜变薄、瘢痕及睑球粘连等。

·SLE·
SLE是一种慢性、复发性的结缔组织病,具有较高的发病率和死亡率,全身多个器官和系统受累,包括肾脏、肺、中枢神经系统、血液系统和骨骼肌肉系统。SLE全球患病率为0~241/10万,中国大陆地区患病率约为30~70/10万,男女患病比为1∶10~12。其眼部受累表现为结膜炎、葡萄膜炎、眼底改变、视神经病变,SLE患者中干眼比例约为25% -30%。
诊断要点:
临床表现。
抗dsDNA抗体阳性、或抗Sm抗体阳性、或抗磷脂抗体阳性,抗核抗体滴度异常。
全身表现:
非特异性症状:各种热型的发热、疲倦、乏力、食欲减退、体重下降等。
皮肤与黏膜表现:鼻梁和双颧部蝶形红斑、口腔溃疡、斑秃、甲周红斑、指掌腹部红色痛性结节。
肌肉关节表现:多关节肿痛、晨僵。
浆膜炎:胸腔积液、心包积液。
肾脏表现:蛋白尿、血尿、高血压、水肿,乃至肾衰。
神经系统表现:狼疮脑病。
血液系统表现:贫血、白细胞和血小板减少。
心血管表现:心包炎。
肺部表现:胸腔积液、间质性肺疾病。
消化系统表现:食欲缺乏、恶心、呕吐、腹痛、腹水。
抗磷脂抗体综合征。
·MMP·
MMP是一种慢性瘢痕化的自身免疫性疾病,因患者黏膜上皮及上皮下连接处的表皮基底膜带有IgG、IgA 和(或)补体 C3 的线状沉积,黏膜上皮下瘢痕形成,又称为瘢痕性类天疱疮。MMP主要累及黏膜,包括眼、口腔、鼻咽部、食管、生殖器、肛门等部位,眼部是最常见的累及部位,累及眼部时称眼黏膜类天疱疮(OMMP),约占60-70%,预后较差。发病年龄约为60岁或以上。
眼部受累特点:慢性结膜炎、上皮下纤维化、穹窿部缩短、睑球粘连以及睑缘粘连,眼表角化和新生血管生成,呈慢性、进行性的临床过程。
诊断要点:主要依靠组织活检证明免疫球蛋白或补体沉积,或直接免疫荧光(DIF)检查显示免疫球蛋白或补体在基底膜区呈线性沉积;DIF阴性不能排除对OCP的诊断。
治疗要点:主要通过全身免疫抑制控制炎症,局部药物治疗无效;在全身炎症控制稳定的情况下,可通过手术改善眼表结构和功能。
OMMP特点:
疾病进展特征:睑结膜到球结膜粘连,下穹窿首先受累。
?结膜大片收缩时,形成睑缘粘连,结膜囊完全被覆盖,广泛的纤维化导致泪腺和泪腺导管堵塞,引起严重的干眼。
?OMMP晚期结膜中产生黏液的杯状细胞被破坏,杯状细胞有助于泪膜的黏液分泌,黏蛋白的消耗导致泪膜破裂时间缩短。
破坏性极强、预后极差的疾病。
诊断:主要依据临床症状、组织活检或DIF观察到的补体在基底膜呈线性沉积,但阳性率较低。
OMMP 晚期患者常合并眼表畸形、角膜浑浊、角膜新生血管等,在眼表炎症控制的情况下进行眼睑或角膜的手术能够帮助重建眼表结构及功能。
OMMP单发罕见,易误诊。一报道回顾分析5例(10只眼) OCP患者,5例患者在早期均误诊为慢性结膜炎。在这些病例瘢痕较明显时,1例曾被误诊为Stevens-Johnson综合征;1例误诊为干燥综合征;1例经3次内翻倒睫矫正术,术后病情加重。
·Graves病·
Graves病又称毒性弥漫性甲状腺肿,是机体对甲状腺滤泡细胞膜上促甲状腺激素受体产生抗体TRAb,引起的自身免疫性疾病。Graves病每年发病率约为20~30/1000000,女性较多,发病年龄多在30 ~ 60岁。约13%~69%的患者出现眼部症状,多数为亚临床眼病,又称甲状腺相关眼病(TAO),约65.8%-73.7%的TA0患者合并干眼症状。Graves眼病(GO)典型特征:眼睑肿胀、上睑退缩、下落迟缓、瞬目减少、凝视、单眼或双眼突出、眼球活动受限、复视等。
诊断要点:甲功FT3、FT4升高,TSH降低,TRAb升高,甲状腺肿大、眼征。
治疗要点:
1.抗甲亢治疗:抗甲状腺药物,放射性碘治疗,甲状腺手术治疗。
2.针对性的治疗:人工泪液,夜间遮盖,免疫抑制治疗,眼眶康复手术,GCs口服、局部用药(球后及结膜下)、静脉注射给药。
·cGVHD·
cGVHD为造血干细胞移植术HSCT的并发症,发病率高达10%~80%,可累及全身多个系统,临床表现类似自身免疫性疾病,呈多样性:
皮肤损害:90%以上患者皮肤受累,表现为皮肤色素过度沉着或色素减退、红斑、干燥、瘙痒及苔藓样改变等,指甲、毛发变脆弱,汗腺破坏导致过高热,还可出现表皮和皮下组织的纤维化,形成局部硬斑或全身硬皮病样变,严重者还可有关节活动障碍或难治性溃疡。
口腔损害:口唇、颊粘膜和腭部白纹变,口腔粘膜出现红斑和溃疡等。
眼部损害:角膜-结膜炎,干眼、角膜斑翳,少数出现虹膜炎、虹膜睫状体炎和脉络膜炎。
呼吸道受累:阻塞性的细支气管炎和细支气管阻塞。
肝脏损害:胆汁淤积、梗阻性黄疸、胆红素增高、碱性磷酸酶增高。
消化道受累:食管受累所致的吞咽困难、胸骨后疼痛;肠道受累表现为分泌性腹泻。
造血系统损伤:血细胞减少。
感染是cGVHD最主要的并发症,也是常见的致死原因。
HSCT术后大约40%~60%的患者会出现干眼,其干眼特点为:泪液基础分泌量和反射性分泌均严重降低,同时泪膜稳定性明显下降,严重者角膜表面无完整泪膜导致BUT无法测得,主要表现为:
泪液基础分泌量和反射性分泌量减少、泪膜破裂时间缩短甚至结膜表面无完整泪膜、泪膜破裂时间缩短等;
中、重度干眼:结膜充血、睑结膜乳头状增生、瘢痕形成或睑球粘连、角膜上皮弥漫性点状荧光着色或上皮脱落、丝状角膜病等症状,导致患者明显的眼部不适和视力下降;
重度干眼患者若症状控制不良,易形成角膜溃疡,甚至导致角膜穿孔,严重者可能完全丧失视功能,给患者的生存质量造成极大的影响。
治疗:全身加眼局部治疗。
系统免疫疾病相关干眼如何治疗?大体有如下几种常见的治疗方式。
重视全身及原发病治疗+局部治疗。
眼局部治疗包括激素治疗、免疫抑制剂治疗、黏附因子抑制剂治疗、促泌剂治疗(促水液分泌剂、促黏蛋白分泌剂)及睑板腺炎治疗等。
泪液替代治疗。
泪液替代治疗包括补充水液成分(人工泪液)、补充黏蛋白成分(人工泪液)、补充脂质成分(人工泪液)、应用维生素类制剂及应用自体血清等。
手术治疗。
专家简介

吴欣怡 教授
山东大学二级教授,博导,山东大学荣聘教授,眼科住培基地主任
山东省卫健委眼科住培基地质控组长
山东省医药卫生领军人才和杰出学科带头人
山东省卫生厅、山东大学知名专家
中华医学会眼科分会委员兼免疫学组组长
中国医师协会眼科医师分会委员,山东省医学会眼科学分会副主任委员
《中华眼科杂志》、《中华实验眼科杂志》、《眼科新进展》《国际眼科纵览》等杂志编委
国家自然科学基金委员会、科技部、教育部家及山东省科技厅评审专家
多次获得教育部、山东省科技厅科技进步二等奖,在感染性角膜病临床和基础研究;组织工程角膜、干细胞研究等方面开展了大量的工作
先后多次获得国家自然科学基金面上项目的资助。主编著作2部,发表文章220余篇
2 comments
条评论
Linda Gareth
2015年3月6日, 下午2:51Donec ipsum diam, pretium maecenas mollis dapibus risus. Nullam tindun pulvinar at interdum eget, suscipit eget felis. Pellentesque est faucibus tincidunt risus id interdum primis orci cubilla gravida.