近视,作为一种全球性眼病,其发病率正在逐年升高。在高度近视中,病理性近视常因各种并发症严重危害患者的视力。目前,病理性近视的概念是基于是否存在近视性黄斑病变,而不是近视的程度1,2。最近,基于脉络膜视网膜萎缩严重程度及与中心视力丧失密切相关的三个“附加”改变(漆裂、脉络膜新生血管和Fuchs斑),一个病理性近视的Meta分析小组提出了一套新的简化的病理性近视分类系统3。
后巩膜葡萄肿 VS近视黄斑并发症
后巩膜葡萄肿部位的巩膜变凸会导致视网膜感光层、视网膜色素上皮(RPE)和脉络膜的拉伸,从而造成机械性损伤。与没有后巩膜葡萄肿的高度近视眼相比,存在后巩膜葡萄肿的高度近视眼更容易发生影响中心视力的黄斑并发症(包括脉络膜视网膜萎缩、近视脉络膜新生血管形成(mCNV)和近视牵引性黄斑病变(MTM))4。
后巩膜葡萄肿的程度不同,发生的近视黄斑并发症类型也不同。例如,据报道,在较严重的后巩膜葡萄肿患者中,黄斑部视网膜劈裂症的发生率较高5;而在轻度后巩膜葡萄肿患者中,mCNV更为常见。尽管后巩膜葡萄肿的分级仅基于立体检眼镜和超声检查的结果,但这些结果表明,后巩膜葡萄肿的形状可能是不同类型近视黄斑并发症发展的决定因素。
光学相干断层扫描(OCT)可以提供后极部详细的结构图像,并且可以用作定量评估黄斑中心凹周围视网膜结构情况的有用工具。通过OCT测量后巩膜葡萄肿内表面曲率,对于病理性近视患者存在的威胁视力的黄斑并发症及相关临床问题的发展情况,具有潜在的影像学生物标志物作用,这使得对病因和治疗方法进展的描述成为了可能。
新研究、新证据
基于以上基础,来自韩国首尔国立大学医学院眼科的Un Chul Park教授团队在患有后巩膜葡萄肿的高度近视眼患者中进行了一项横断面研究。研究者对累及黄斑的两个主要近视并发症(mCNV和MTM)在光谱域OCT图像上是否与中心凹曲率存在相关性进行了分析,同时还对以曲率指数作为一种新方法用以明确中心凹曲率的的临床意义进行了评估。
在这些存在后巩膜葡萄肿的高度近视眼患者中(眼轴长度≥26.5 mm、屈光不正度数≤-6D),研究者根据视网膜色素上皮在光谱域光学相干断层扫描图像中的高反射线,分别对MTM(72眼)、mCNV(58眼)和对照组(69眼)中三个不同的中心凹曲率参数(巩膜葡萄肿程度、系数a和曲率指数)进行了测量和比较。
(75).jpg)
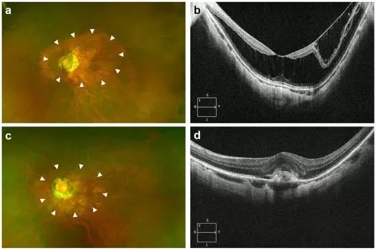
图1. 伴有近视牵引性黄斑病变和近视脉络膜新生血管(mCNV)患者具有代表性的广角视网膜图像和光学相干断层扫描B扫描图像。(a,b)一名患有黄斑劈裂的50岁女性(眼轴长度29.1 mm,屈光不正-12.75 D)。可见广泛的黄斑区葡萄肿(箭头)。其中心凹曲率参数如下:葡萄肿总高度为3,028μm、系数a为4.78×10?4、曲率指数为1.066。(c,d)一位患有mCNV 的61岁男性,(眼轴长度29.9mm,屈光不正-12.25 D)。可见广泛的黄斑区葡萄肿(箭头)。尽管与前者的眼轴长度和屈光不正程度相当,但他的曲率参数却较小:葡萄肿总高度1696μm、系数a为3.40×10?4、曲率指数为1.031。
.png)
图2. 散点图描绘了不同方法之间葡萄肿曲率测量的相关性。(a)葡萄肿高度与系数a。(b)系数a与曲率指数。(c)曲率指数与葡萄肿高度。所有比较均表现为显著正相关(P <0.001)。MTM:近视牵引性黄斑病变,mCNV:近视脉络膜新生血管。
(66).jpg)
图3. 在后葡萄肿曲率较陡的眼中,葡萄肿的后极可能主要在前后牵引下导致视网膜神经改变和近视牵引性黄斑病变(a)。曲率较浅的后葡萄肿扩大可能是多方向性的,葡萄肿的顶端可能主要是切线方向牵引导致Bruch膜/视网膜色素上皮破裂并随后导致脉络膜新血管形成(b)。
(58).jpg)
表1. 患者人口统计学和基本特征。*单因素方差分析。**卡方检验。*排除假晶状体眼(MTM 10眼,mCNV组6眼,对照组5眼)。MTM:牵引性黄斑病变;mCNV:近视脉络膜新生血管;BCVA:最佳矫正视力;logMAR =最小分辨率角对数。
(52).jpg)
表2. 近视牵引性黄斑病变和近视脉络膜新生血管患者曲率参数的比较。*单因素方差分析。MTM:牵引性黄斑病变;mCNV:近视脉络膜新生血管。
(44).jpg)
表3. 近视牵引性黄斑病变组、近视脉络膜新生血管形成组和对照组曲率参数与眼轴长度、屈光不正和严重性参数的相关性。MTM =近视牵引性黄斑病变, mCNV =近视脉络膜新生血管。*排除假晶状体眼(MTM 10眼,mCNV组6眼,对照组5眼)。
结果显示
三个曲率参数均呈现显著的相关性(所有P均<0.001)。
各组之间,眼轴长度、屈光不正度数和后巩膜葡萄肿程度均具有可比性。
但与mCNV组和对照组相比,MTM组三个曲率参数的平均值明显更高(所有P均<0.001)。
此外,曲率参数与MTM中的近视严重程度具有显著相关性,在其他组中却没有。
这些结果表明,黄斑中心凹曲率变陡在高度近视中对MTM的发展发挥了重要作用,但却与mCNV的发生无关。这可能成为预测近视性黄斑病变进展的一个重要因素。
参考文献
1.Cho, B. J., Shin, J. Y. & Yu, H. G. Complications of Pathologic Myopia. Eye & contact lens 42, 9–15, https://doi.org/10.1097/icl.0000000000000223 (2016).
2. Wong, T. Y., Ferreira, A., Hughes, R., Carter, G. & Mitchell, P. Epidemiology and disease burden of pathologic myopia and myopic choroidal neovascularization: an evidence-based systematic review. American journal of ophthalmology 157, 9–25.e12, https://doi.org/10.1016/j.ajo.2013.08.010 (2014).
3. Ohno-Matsui, K. et al. International photographic classification and grading system for myopic maculopathy. American journal of ophthalmology 159, 877–883.e877, https://doi.org/10.1016/j.ajo.2015.01.022 (2015).
4. Ohno-Matsui, K. Proposed classification of posterior staphylomas based on analyses of eye shape by three-dimensional magnetic resonance imaging and wide-field fundus imaging. Ophthalmology 121, 1798–1809, https://doi.org/10.1016/j.ophtha.2014.03.035
(2014).
5. Hsiang, H. W. et al. Clinical characteristics of posterior staphyloma in eyes with pathologic myopia. American journal of ophthalmology 146, 102–110, https://doi.org/10.1016/j.ajo.2008.03.010 (2008).
2 comments
条评论
Linda Gareth
2015年3月6日, 下午2:51Donec ipsum diam, pretium maecenas mollis dapibus risus. Nullam tindun pulvinar at interdum eget, suscipit eget felis. Pellentesque est faucibus tincidunt risus id interdum primis orci cubilla gravida.